Antibody data
- Antibody Data
- Antigen structure
- References [0]
- Comments [0]
- Validations
- Western blot [1]
- Immunohistochemistry [3]
Submit
Validation data
Reference
Comment
Report error
- Product number
- GTX32719 - Provider product page

- Provider
- GeneTex
- Product name
- Metaxin-1 antibody
- Antibody type
- Polyclonal
- Reactivity
- Human, Mouse, Rat
- Host
- Rabbit
No comments: Submit comment
Supportive validation
- Submitted by
- GeneTex (provider)
- Main image

- Experimental details
- Western blot analysis of extracts of various cell lines, using MTX1 antibody.
Supportive validation
- Submitted by
- GeneTex (provider)
- Main image

- Experimental details
- Immunohistochemistry of paraffin-embedded human colon using MTX1 antibody at dilution of 1:100 (x40 lens).
- Submitted by
- GeneTex (provider)
- Main image

- Experimental details
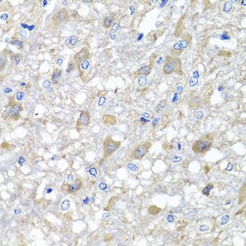
- Immunohistochemistry of paraffin-embedded rat brain using MTX1 antibody at dilution of 1:100 (x40 lens).
- Submitted by
- GeneTex (provider)
- Main image

- Experimental details
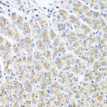
- Immunohistochemistry of paraffin-embedded mouse stomach using MTX1 antibody at dilution of 1:100 (x40 lens).