Antibody data
- Antibody Data
- Antigen structure
- References [0]
- Comments [0]
- Validations
- Immunocytochemistry [1]
- Immunohistochemistry [5]
Submit
Validation data
Reference
Comment
Report error
- Product number
- PA5-63805 - Provider product page

- Provider
- Invitrogen Antibodies
- Product name
- C19orf43 Polyclonal Antibody
- Antibody type
- Polyclonal
- Antigen
- Recombinant protein fragment
- Description
- Immunogen sequence: GSTLSFVGKR RGGNKLALKT GIVAKKQKTE DEVLTSKGDA WAKYMAEVKK YKAHQCGDDD KTR Highest antigen sequence identity to the following orthologs: Mouse - 98%, Rat - 97%.
- Reactivity
- Human
- Host
- Rabbit
- Isotype
- IgG
- Vial size
- 100 μL
- Concentration
- 0.2 mg/mL
- Storage
- Store at 4°C short term. For long term storage, store at -20°C, avoiding freeze/thaw cycles.
No comments: Submit comment
Supportive validation
- Submitted by
- Invitrogen Antibodies (provider)
- Main image

- Experimental details
- Immunofluorescent staining of C19orf43 in human cell line HEK 293 using a C19orf43 Polyclonal Antibody (Product # PA5-63805) shows localization to nucleoplasm.
Supportive validation
- Submitted by
- Invitrogen Antibodies (provider)
- Main image

- Experimental details
- Immunohistochemical analysis of C19orf43 in human colon using C19orf43 Polyclonal Antibody (Product # PA5-63805) shows strong nuclear positivity in glandular cells.
- Submitted by
- Invitrogen Antibodies (provider)
- Main image

- Experimental details
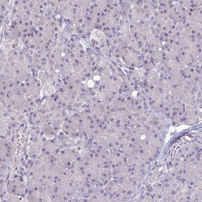
- Immunohistochemical analysis of C19orf43 in human pancreas using C19orf43 Polyclonal Antibody (Product # PA5-63805) shows no positivity in exocrine glandular cells as expected.
- Submitted by
- Invitrogen Antibodies (provider)
- Main image

- Experimental details
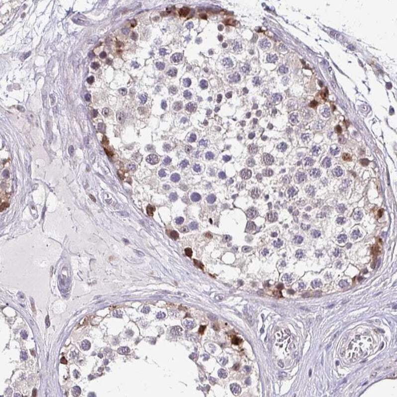
- Immunohistochemical analysis of C19orf43 in human testis using C19orf43 Polyclonal Antibody (Product # PA5-63805) shows moderate nuclear positivity in cells in seminiferous ducts.
- Submitted by
- Invitrogen Antibodies (provider)
- Main image

- Experimental details
- Immunohistochemical analysis of C19orf43 in human cervix, uterine using C19orf43 Polyclonal Antibody (Product # PA5-63805) shows strong nuclear positivity in squamous epithelial cells.
- Submitted by
- Invitrogen Antibodies (provider)
- Main image

- Experimental details
- Immunohistochemical analysis of C19orf43 in human epididymis using C19orf43 Polyclonal Antibody (Product # PA5-63805) shows strong nuclear positivity in glandular cells.