Antibody data
- Antibody Data
- Antigen structure
- References [0]
- Comments [0]
- Validations
- Western blot [2]
- Immunocytochemistry [1]
- Immunohistochemistry [1]
Submit
Validation data
Reference
Comment
Report error
- Product number
- GTX103948 - Provider product page

- Provider
- GeneTex
- Proper citation
- GeneTex Cat#GTX103948, RRID:AB_1950437
- Product name
- GPD1 antibody
- Antibody type
- Polyclonal
- Reactivity
- Human, Mouse
- Host
- Rabbit
No comments: Submit comment
Supportive validation
- Submitted by
- GeneTex (provider)
- Main image

- Experimental details
- Sample(30 ?g of whole cell lysate)A:Hep G2(GTX27900)12% SDS PAGEGTX103948 diluted at 1:1000The HRP-conjugated anti-rabbit IgG antibody (GTX213110-01) was used to detect the primary antibody.
- Submitted by
- GeneTex (provider)
- Main image

- Experimental details
- Sample (50 ?g of whole cell lysate) A: Mouse brain 10% SDS PAGE GTX103948 diluted at 1:1000 The HRP-conjugated anti-rabbit IgG antibody (GTX213110-01) was used to detect the primary antibody.
Supportive validation
- Submitted by
- GeneTex (provider)
- Main image

- Experimental details
- GPD1 antibody detects GPD1 protein at cytoplasm by immunofluorescent analysis. Sample: HeLa cells were fixed in 4% paraformaldehyde at RT for 15 min.Green: GPD1 protein stained by GPD1 antibody (GTX103948) diluted at 1:500.Blue: Hoechst 33343 staining.
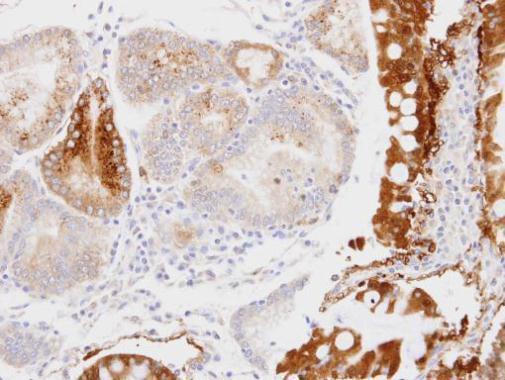
Supportive validation
- Submitted by
- GeneTex (provider)
- Main image

- Experimental details
- Immunohistochemical analysis of paraffin-embedded human stomach , using GPD1(GTX103948) antibody at 1:100 dilution.