PA5-49729
antibody from Invitrogen Antibodies
Targeting: SPAG1
CILD28, CT140, FLJ32920, HSD-3.8, SP75, TPIS
Antibody data
- Antibody Data
- Antigen structure
- References [0]
- Comments [0]
- Validations
- Immunohistochemistry [1]
Submit
Validation data
Reference
Comment
Report error
- Product number
- PA5-49729 - Provider product page

- Provider
- Invitrogen Antibodies
- Product name
- SPAG1 Polyclonal Antibody
- Antibody type
- Polyclonal
- Antigen
- Synthetic peptide
- Description
- The antibody detects endogenous level of total SPAG1 protein.
- Reactivity
- Human
- Host
- Rabbit
- Isotype
- IgG
- Vial size
- 100 μL
- Concentration
- 0.3 mg/mL
- Storage
- -20°C, Avoid Freeze/Thaw Cycles
No comments: Submit comment
Supportive validation
- Submitted by
- Invitrogen Antibodies (provider)
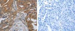
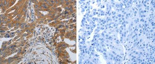
- Main image

- Experimental details
- Immunohistochemical analysis of SPAG1 in paraffin-embedded human ovarian cancer tissue using (left) SPAG1 Polyclonal Antibody (Product # PA5-49729) at a 1:25 dilution and (right) is treated with the synthetic peptide.