Antibody data
- Antibody Data
 - Antigen structure
 - References [3]
 - Comments [0]
 - Validations
 - Immunohistochemistry [1]
 
Submit
Validation data
Reference
Comment
Report error
- Product number
 - sc-20685 - Provider product page

 - Provider
 - Santa Cruz Biotechnology
 - Proper citation
 - Santa Cruz Biotechnology Cat#sc-20685, RRID:AB_2078507
 - Product name
 - Anti-CDC45L
 - Antibody type
 - Polyclonal
 - Antigen
 - Recombinant full-length protein
 - Reactivity
 - Human
 - Host
 - Rabbit
 
Submitted references		Enhanced H2AX phosphorylation, DNA replication fork arrest, and cell death in the absence of Chk1.
				
Apoptosis induced by replication inhibitors in Chk1-depleted cells is dependent upon the helicase cofactor Cdc45
				
Inhibition of human Chk1 causes increased initiation of DNA replication, phosphorylation of ATR targets, and DNA breakage.
				
		
	
			Gagou ME, Zuazua-Villar P, Meuth M
Molecular biology of the cell 2010 Mar 1;21(5):739-52
		Molecular biology of the cell 2010 Mar 1;21(5):739-52
Apoptosis induced by replication inhibitors in Chk1-depleted cells is dependent upon the helicase cofactor Cdc45
			R Rodriguez, M E Gagou, M Meuth
Cell Death and Differentiation 2008 Feb;15(5):889-898
		Cell Death and Differentiation 2008 Feb;15(5):889-898
Inhibition of human Chk1 causes increased initiation of DNA replication, phosphorylation of ATR targets, and DNA breakage.
			Syljuåsen RG, Sørensen CS, Hansen LT, Fugger K, Lundin C, Johansson F, Helleday T, Sehested M, Lukas J, Bartek J
Molecular and cellular biology 2005 May;25(9):3553-62
		Molecular and cellular biology 2005 May;25(9):3553-62
				No comments: Submit comment	
	
			
							
					Supportive validation
					
									
				
		- Submitted by
 - per
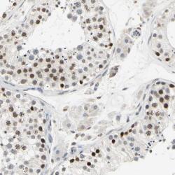
 - Main image
 
- Experimental details
 - Immunohistochemical staining of human testis shows distinct nuclear positivity in cells in seminiferus ducts.
 - Validation comment
 - Two independent antibodies targeting one protein yielding similar staining patterns. Staining pattern consistent with experimental and/or bioinformatic data.