Antibody data
- Antibody Data
- Antigen structure
- References [0]
- Comments [0]
- Validations
- Immunohistochemistry [1]
Submit
Validation data
Reference
Comment
Report error
- Product number
- AP15778PU-M - Provider product page

- Provider
- OriGene
- Product name
- Rabbit polyclonal anti-SMAD3 antibody, Purified
- Antibody type
- Polyclonal
- Description
- Rabbit polyclonal anti-SMAD3 antibody, Purified
- Reactivity
- Human
- Host
- Rabbit
- Conjugate
- Unconjugated
- Vial size
- 0.5ml
No comments: Submit comment
Supportive validation
- Submitted by
- OriGene (provider)
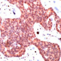
- Main image

- Experimental details
- Human breast ca stained with Anti-Smad3, cat# AP15778PU
- Validation comment
- IHC