Antibody data
- Antibody Data
- Antigen structure
- References [0]
- Comments [0]
- Validations
- Western blot [1]
- Immunohistochemistry [1]
Submit
Validation data
Reference
Comment
Report error
- Product number
- AF5245 - Provider product page

- Provider
- R&D Systems
- Product name
- Human/Mouse/Rat Follistatin-like 4/FSTL4 Antibody
- Antibody type
- Polyclonal
- Description
- Immunogen affinity purified. Detects recombinant mouse Follistatin-like 4/FSTL4 in direct ELISAs. Detects human, mouse, and rat Follistatin-like 4/FSTL4 in Western blots. In direct ELISAs, approximately 10% cross-reactivity with recombinant human (rh) FSTL4 is observed, and less than 5% cross-reactivity with rhFSTL5 and recombinant mouse FSTL1 is observed.
- Reactivity
- Human, Mouse, Rat
- Host
- Goat
- Conjugate
- Unconjugated
- Antigen sequence
Q5STE3- Isotype
- IgG
- Vial size
- 100 ug
- Concentration
- LYOPH
- Storage
- Use a manual defrost freezer and avoid repeated freeze-thaw cycles. 12 months from date of receipt, -20 to -70 °C as supplied. 1 month, 2 to 8 °C under sterile conditions after reconstitution. 6 months, -20 to -70 °C under sterile conditions after reconstitution.
No comments: Submit comment
Supportive validation
- Submitted by
- R&D Systems (provider)
- Main image

- Experimental details
- Detection of Human, Mouse, and Rat Follistatin-like 4/FSTL4 by Western Blot. Western blot shows lysates of mouse brain (cortex) tissue, rat brain (cortex) tissue, and human brain (hippocampus) tissue. PVDF membrane was probed with 1 µg/mL of Goat Anti-Mouse Follistatin-like 4/FSTL4 Antigen Affinity-purified Polyclonal Antibody (Catalog # AF5245) followed by HRP-conjugated Anti-Goat IgG Secondary Antibody (Catalog # HAF019). A specific band was detected for Follistatin-like 4/FSTL4 at approximately 110 kDa (as indicated). This experiment was conducted under reducing conditions and using Immunoblot Buffer Group 8.
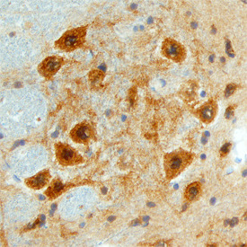
Supportive validation
- Submitted by
- R&D Systems (provider)
- Main image

- Experimental details
- Follistatin-like 4/FSTL4 in Mouse Brain. Follistatin-like 4/FSTL4 was detected in perfusion fixed frozen sections of mouse brain using Goat Anti-Human/Mouse/Rat Follistatin-like 4/FSTL4 Antigen Affinity-purified Polyclonal Antibody (Catalog # AF5245) at 5 µg/mL overnight at 4 °C. Tissue was stained using the Anti-Goat HRP-DAB Cell & Tissue Staining Kit (brown; Catalog # CTS008) and counterstained with hematoxylin (blue). Specific staining was localized to the cytoplasm of neurons in the brainstem. View our protocol for Chromogenic IHC Staining of Frozen Tissue Sections. This application has not been tested in human or rat samples