Antibody data
- Antibody Data
- Antigen structure
- References [0]
- Comments [0]
- Validations
- Western blot [1]
- Immunohistochemistry [1]
Submit
Validation data
Reference
Comment
Report error
- Product number
- AM20451SU-N - Provider product page

- Provider
- Acris Antibodies GmbH
- Proper citation
- Acris Antibodies GmbH Cat#AM20451SU-N, RRID:AB_10845275
- Product name
- anti CD166
- Antibody type
- Monoclonal
- Antigen
- Recombinant protein encoding amino acids 405-424 of Human CD166/ALCAM.
- Reactivity
- Human
- Host
- Mouse
- Isotype
- IgG
- Antibody clone number
- 3F8B12
- Vial size
- 50 µl
No comments: Submit comment
Supportive validation
- Submitted by
- Acris Antibodies GmbH (provider)
- Main image

- Experimental details
- Western blot analysis using anti-ALCAM monoclonal antibody against truncated Trx-ALCAM recombinant protein (Lane 1).
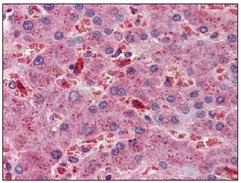
Supportive validation
- Submitted by
- Acris Antibodies GmbH (provider)
- Main image

- Experimental details
- Liver, Human: Formalin-Fixed, Paraffin-Embedded (FFPE)