Antibody data
- Antibody Data
- Antigen structure
- References [0]
- Comments [0]
- Validations
- Western blot [1]
- Immunohistochemistry [2]
Submit
Validation data
Reference
Comment
Report error
- Product number
- TA326916 - Provider product page

- Provider
- OriGene
- Product name
- Rabbit anti-HADH Polyclonal Antibody
- Antibody type
- Polyclonal
- Description
- Rabbit anti-HADH Polyclonal Antibody
- Host
- Rabbit
- Conjugate
- Unconjugated
- Epitope
- HADH
- Isotype
- IgG
- Antibody clone number
- NULL
- Vial size
- 100 µg
- Concentration
- 1mg/ml
No comments: Submit comment
Supportive validation
- Submitted by
- OriGene (provider)
- Main image

- Experimental details
- Western blot analysis of extracts of variouscell lines, using HADH antibody.
- Validation comment
- WB
Supportive validation
- Submitted by
- OriGene (provider)
- Main image

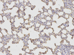
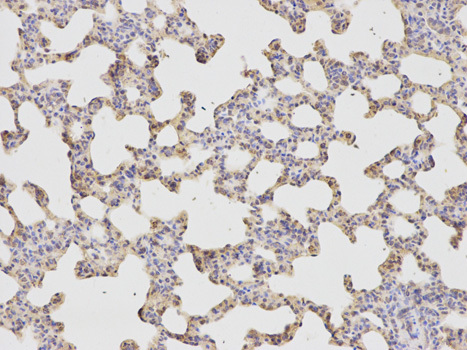
- Experimental details
- Immunohistochemistry of paraffin-embedded rat lung using HADH antibody at dilution of 1:400 (200x lens).
- Validation comment
- IHC
- Submitted by
- OriGene (provider)
- Main image

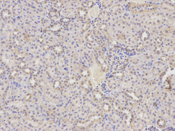
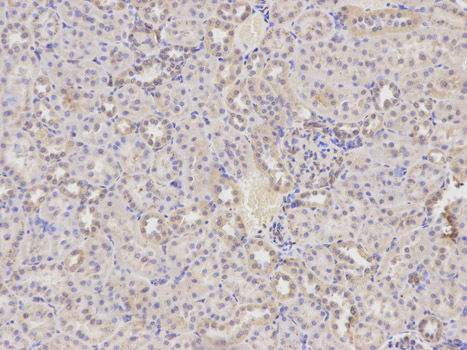
- Experimental details
- Immunohistochemistry of paraffin-embedded rat kidney using HADH antibody at dilution of 1:400 (200x lens).
- Validation comment
- IHC