Antibody data
- Antibody Data
- Antigen structure
- References [0]
- Comments [0]
- Validations
- Western blot [2]
- Immunohistochemistry [1]
Submit
Validation data
Reference
Comment
Report error
- Product number
- GTX101197 - Provider product page

- Provider
- GeneTex
- Proper citation
- GeneTex Cat#GTX101197, RRID:AB_2037038
- Product name
- Galactosylceramidase antibody [N3C3]
- Antibody type
- Polyclonal
- Reactivity
- Human
- Host
- Rabbit
No comments: Submit comment
Supportive validation
- Submitted by
- GeneTex (provider)
- Main image

- Experimental details
- Sample (30 ?g of whole cell lysate) A: H1299 7.5% SDS PAGE Galactosylceramidase antibody GTX101197 diluted at 1:1000 The HRP-conjugated anti-rabbit IgG antibody (GTX213110-01) was used to detect the primary antibody.
- Submitted by
- GeneTex (provider)
- Main image

- Experimental details
- Non-transfected (¡V) and transfected (+) 293T whole cell extracts (30 ?g) were separated by 7.5% SDS-PAGE, and the membrane was blotted with Galactosylceramidase antibody [N3C3] (GTX101197) diluted at 1:1000. The HRP-conjugated anti-rabbit IgG antibody (GTX213110-01) was used to detect the primary antibody.
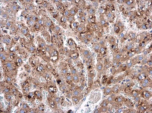
Supportive validation
- Submitted by
- GeneTex (provider)
- Main image

- Experimental details
- Galactosylceramidase antibody [N3C3] detects Galactosylceramidase protein at cytoplasm in rat liver by immunohistochemical analysis. Sample: Paraffin-embedded rat liver. Galactosylceramidase antibody [N3C3] (GTX101197) diluted at 1:400.