Antibody data
- Antibody Data
- Antigen structure
- References [1]
- Comments [0]
- Validations
- Western blot [2]
- Immunohistochemistry [11]
Submit
Validation data
Reference
Comment
Report error
- Product number
- NBP1-81127 - Provider product page

- Provider
- Novus Biologicals
- Proper citation
- Novus Cat#NBP1-81127, RRID:AB_11040918
- Product name
- Rabbit Polyclonal ARMC10 Antibody
- Antibody type
- Polyclonal
- Description
- Immunogen affinity purified. Specificity of human ARMC10 antibody verified on a Protein Array containing target protein plus 383 other non-specific proteins.
- Reactivity
- Human
- Host
- Rabbit
- Isotype
- IgG
- Vial size
- 0.1 ml
- Storage
- Store at 4C short term. Aliquot and store at -20C long term. Avoid freeze-thaw cycles.
Submitted references Identification of DISE-inducing shRNAs by monitoring cellular responses.
Patel M, Peter ME
Cell cycle (Georgetown, Tex.) 2018;17(4):506-514
Cell cycle (Georgetown, Tex.) 2018;17(4):506-514
No comments: Submit comment
Supportive validation
- Submitted by
- Novus Biologicals (provider)
- Main image

- Experimental details
- Western Blot: ARMC10 Antibody [NBP1-81127] - Analysis in human cell lines MCF-7 and HeLa. Corresponding RNA-seq data are presented for the same cell lines. Loading control: Anti-HSP90B1.
- Submitted by
- Novus Biologicals (provider)
- Main image

- Experimental details
- Western Blot: ARMC10 Antibody [NBP1-81127] - Analysis using Anti-ARMC10 antibody NBP1-81127 (A) shows similar pattern to independent antibody NBP1-81128 (B).
Supportive validation
- Submitted by
- Novus Biologicals (provider)
- Main image

- Experimental details
- Immunohistochemistry-Paraffin: ARMC10 Antibody [NBP1-81127] - Staining of human duodenum shows moderate cytoplasmic positivity in glandular cells.
- Submitted by
- Novus Biologicals (provider)
- Main image

- Experimental details
- Immunohistochemistry-Paraffin: ARMC10 Antibody [NBP1-81127] - Staining of human skeletal muscle shows low expression as expected.
- Submitted by
- Novus Biologicals (provider)
- Main image

- Experimental details
- Immunohistochemistry-Paraffin: ARMC10 Antibody [NBP1-81127] - Staining of human thyroid gland shows high expression.
- Submitted by
- Novus Biologicals (provider)
- Main image

- Experimental details
- Immunohistochemistry-Paraffin: ARMC10 Antibody [NBP1-81127] - Staining in human thyroid gland and skeletal muscle tissues using anti-ARMC10 antibody. Corresponding ARMC10 RNA-seq data are presented for the same tissues.
- Submitted by
- Novus Biologicals (provider)
- Main image

- Experimental details
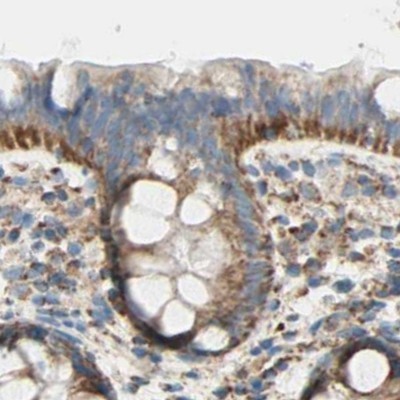
- Immunohistochemistry-Paraffin: ARMC10 Antibody [NBP1-81127] - Staining of human colon.
- Submitted by
- Novus Biologicals (provider)
- Main image

- Experimental details
- Immunohistochemistry-Paraffin: ARMC10 Antibody [NBP1-81127] - Staining of human lymph node.
- Submitted by
- Novus Biologicals (provider)
- Main image

- Experimental details
- Immunohistochemistry-Paraffin: ARMC10 Antibody [NBP1-81127] - Staining of human cerebral cortex shows strong granular cytoplasmic positivity in neurons.
- Submitted by
- Novus Biologicals (provider)
- Main image

- Experimental details
- Immunohistochemistry-Paraffin: ARMC10 Antibody [NBP1-81127] - Staining of human colon shows moderate to strong granular cytoplasmic positivity in glandular cells.
- Submitted by
- Novus Biologicals (provider)
- Main image

- Experimental details
- Immunohistochemistry-Paraffin: ARMC10 Antibody [NBP1-81127] - Staining of human cerebral cortex, colon, skeletal muscle and testis using Anti-ARMC10 antibody NBP1-81127 (A) shows similar protein distribution across tissues to independent antibody NBP1-81128 (B).
- Submitted by
- Novus Biologicals (provider)
- Main image

- Experimental details
- Immunohistochemistry-Paraffin: ARMC10 Antibody [NBP1-81127] - Staining of human skeletal muscle shows very weak positivity in myocytes.
- Submitted by
- Novus Biologicals (provider)
- Main image

- Experimental details
- Immunohistochemistry-Paraffin: ARMC10 Antibody [NBP1-81127] - Staining of human testis shows strong granular cytoplasmic positivity in cells in seminiferous ducts.