Antibody data
- Antibody Data
- Antigen structure
- References [0]
- Comments [0]
- Validations
- Immunocytochemistry [3]
- Immunohistochemistry [4]
Submit
Validation data
Reference
Comment
Report error
- Product number
- PA5-54437 - Provider product page

- Provider
- Invitrogen Antibodies
- Product name
- ZBTB5 Polyclonal Antibody
- Antibody type
- Polyclonal
- Antigen
- Recombinant protein fragment
- Description
- Immunogen sequence: GEKEHMRVVV KSEPLSSPEP QDEVSDVTSQ AEGSESVEVE GVVVSAEKID LSPESSDRSF SDPQSSTDRV GDIHILEVTN NLEHKSTFSI SNFLNKSRGN NFTANQNN Highest antigen sequence identity to the following orthologs: Mouse - 94%, Rat - 93%.
- Reactivity
- Human
- Host
- Rabbit
- Isotype
- IgG
- Vial size
- 100 μL
- Concentration
- 0.3 mg/mL
- Storage
- Store at 4°C short term. For long term storage, store at -20°C, avoiding freeze/thaw cycles.
No comments: Submit comment
Supportive validation
- Submitted by
- Invitrogen Antibodies (provider)
- Main image

- Experimental details
- Immunofluorescent staining of ZBTB5 in human cell line SH-SY5Y shows positivity in the Golgi apparatus & nucleus but excluded from the nucleoli. Samples were probed using a ZBTB5 Polyclonal Antibody (Product # PA5-54437).
- Submitted by
- Invitrogen Antibodies (provider)
- Main image

- Experimental details
- Immunofluorescent staining of ZBTB5 in human cell line HeLa using a ZBTB5 Polyclonal Antibody (Product # PA5-54437) shows localization to nucleoplasm and nuclear bodies.
- Submitted by
- Invitrogen Antibodies (provider)
- Main image

- Experimental details
- Immunofluorescent staining of ZBTB5 in human cell line HeLa using a ZBTB5 Polyclonal Antibody (Product # PA5-54437) shows localization to nucleoplasm and nuclear bodies.
Supportive validation
- Submitted by
- Invitrogen Antibodies (provider)
- Main image

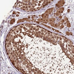
- Experimental details
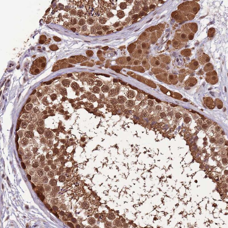
- Immunohistochemical analysis of ZBTB5 in human testis using ZBTB5 Polyclonal Antibody (Product # PA5-54437) shows strong nuclear and cytoplasmic positivity in cells in seminiferous ducts and Leydig cells.
- Submitted by
- Invitrogen Antibodies (provider)
- Main image

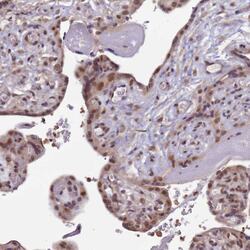
- Experimental details
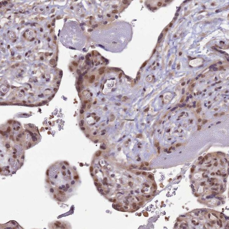
- Immunohistochemical analysis of ZBTB5 in human placenta using ZBTB5 Polyclonal Antibody (Product # PA5-54437) shows moderate nuclear positivity in trophoblastic cells.
- Submitted by
- Invitrogen Antibodies (provider)
- Main image

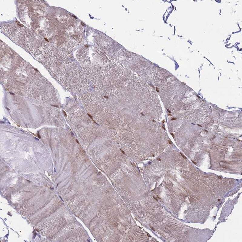
- Experimental details
- Immunohistochemical analysis of ZBTB5 in human skeletal muscle using ZBTB5 Polyclonal Antibody (Product # PA5-54437) shows strong nuclear positivity in myocytes.
- Submitted by
- Invitrogen Antibodies (provider)
- Main image

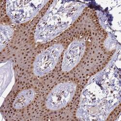
- Experimental details
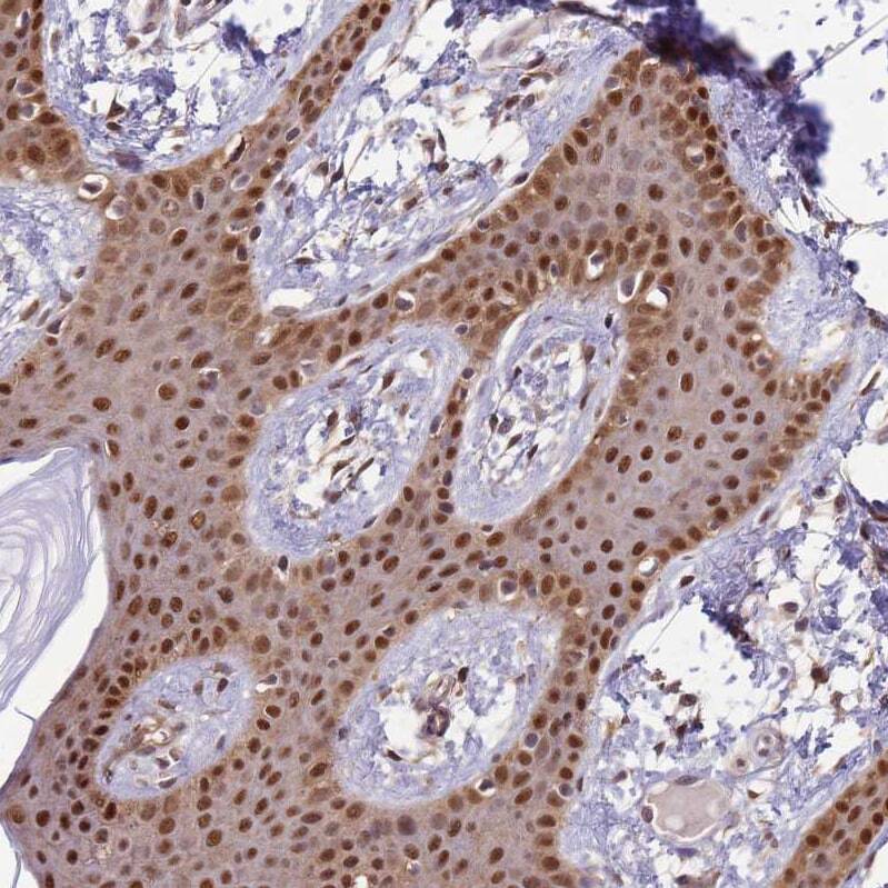
- Immunohistochemical analysis of ZBTB5 in human skin using ZBTB5 Polyclonal Antibody (Product # PA5-54437) shows strong nuclear positivity in squamous epithelial cells.