Antibody data
- Antibody Data
- Antigen structure
- References [0]
- Comments [0]
- Validations
- Western blot [1]
- Immunohistochemistry [1]
Submit
Validation data
Reference
Comment
Report error
- Product number
- ARG65625 - Provider product page

- Provider
- Arigo
- Product name
- anti-BID antibody
- Antibody type
- Polyclonal
- Antigen
- Fusion protein of human BID
- Description
- Affinity purification with immunogen.
- Reactivity
- Human, Mouse, Rat
- Host
- Rabbit
- Isotype
- IgG
- Vial size
- 100 µl
- Concentration
- 1.2 mg/ml
- Storage
- Aliquot and store at -20°C or below. Storage in frost free freezers is not recommended. Avoid repeated freeze/thaw cycles. The antibody solution should be gently mixed before use.
- Handling
- The antibody solution should be gently mixed before use.
No comments: Submit comment
Supportive validation
- Submitted by
- Arigo (provider)
- Main image

- Experimental details
- Western Blot: 40 µg of lysates from: 1) Human fetal brain tissue, 2) Human liver tissue, 3) HT29 cells, 4) HepG2 cells stained with ARG65625 anti-BID antibody at 1/260 dilution. Exposure time: 10 seconds.
Supportive validation
- Submitted by
- Arigo (provider)
- Main image

- Experimental details
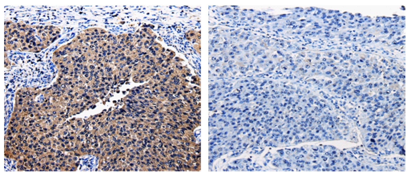
- Immunohistochemistry: paraffin-embedded Human renal cancer tissue stained with ARG65625 anti-BID antibody (left) at 1/25 dilution, or the same antibody preincubated with antigen (right). (Original magnification: X200)