Antibody data
- Antibody Data
- Antigen structure
- References [0]
- Comments [0]
- Validations
- Western blot [1]
- Immunohistochemistry [1]
Submit
Validation data
Reference
Comment
Report error
- Product number
- AP54459PU-N - Provider product page

- Provider
- OriGene
- Product name
- Retinal protein 4 (UNC119) (Center) rabbit polyclonal antibody, Purified
- Antibody type
- Polyclonal
- Description
- Retinal protein 4 (UNC119) (Center) rabbit polyclonal antibody, Purified
- Host
- Rabbit
- Conjugate
- Unconjugated
- Epitope
- UNC119
- Antibody clone number
- NULL
- Vial size
- 400 µl
- Concentration
- lot specific
No comments: Submit comment
Supportive validation
- Submitted by
- OriGene (provider)
- Main image

- Experimental details
- Western blot analysis of UNC119 Antibody (Center) in mouse testis tissue lysates (35 ug/lane). UNC119 (arrow) was detected using the purified Pab.
- Validation comment
- WB
Supportive validation
- Submitted by
- OriGene (provider)
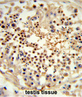
- Main image

- Experimental details
- Formalin-fixed and paraffin-embedded human testis tissue reacted with RS18 Antibody (Center), which was peroxidase-conjugated to the secondary antibody, followed by DAB staining. This data demonstrates the use of this antibody for immunohistochemistry; clinical relevance has not been evaluated.
- Validation comment
- IHC