LS-C120010
antibody from LSBio
Targeting: GADD45GIP1
CKBBP2, CKbetaBP2, CRIF1, MGC4667, MGC4758, PLINP-1, Plinp1, PRG6
Antibody data
- Antibody Data
- Antigen structure
- References [0]
- Comments [0]
- Validations
- Immunohistochemistry [1]
Submit
Validation data
Reference
Comment
Report error
- Product number
- LS-C120010 - Provider product page

- Provider
- LSBio
- Product name
- GADD45GIP1 / CRIF1 Antibody (aa91-140) LS-C120010
- Antibody type
- Polyclonal
- Description
- Immunoaffinity purified
- Reactivity
- Human
- Host
- Rabbit
- Isotype
- IgG
- Storage
- Store at -20°C for up to 1 year.
No comments: Submit comment
Supportive validation
- Submitted by
- LSBio (provider)
- Enhanced method
- Genetic validation
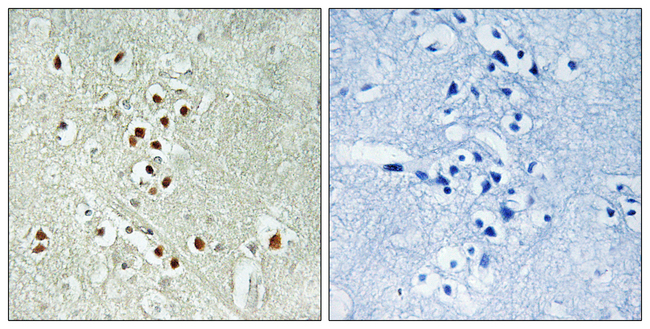
- Main image

- Experimental details
- Immunohistochemistry analysis of paraffin-embedded human brain, using GADD45GIP1 Antibody. The picture on the right is blocked with the synthesized peptide.