Antibody data
- Antibody Data
- Antigen structure
- References [2]
- Comments [0]
- Validations
- Western blot [1]
- Immunocytochemistry [1]
- Immunohistochemistry [2]
Submit
Validation data
Reference
Comment
Report error
- Product number
- 20012-1-AP - Provider product page

- Provider
- Proteintech Group
- Proper citation
- Proteintech Cat#20012-1-AP, RRID:AB_10665946
- Product name
- CYP4F11-Specific antibody
- Antibody type
- Polyclonal
- Description
- CYP4F11-Specific antibody (Cat. #20012-1-AP) is a rabbit polyclonal antibody that shows reactivity with human, mouse and has been validated for the following applications: IF, IHC, ELISA.
- Reactivity
- Human, Mouse
- Host
- Rabbit
- Conjugate
- Unconjugated
- Isotype
- IgG
- Vial size
- 20ul, 150ul
Submitted references Targeting estrogen mediated CYP4F2/CYP4F11-20-HETE metabolic disorder decelerates tumorigenesis in ER+ breast cancer.
Regulation of cytochrome P450 4F11 expression by liver X receptor alpha.
Yang J, Li Y, Han X, Li T, Li D, Liu Q, Yan L, Li F, Pei X, Feng Y, Lin Z, Fu Z, Wang C, Sun Q, Li C
Biochemistry and biophysics reports 2024 Jul;38:101706
Biochemistry and biophysics reports 2024 Jul;38:101706
Regulation of cytochrome P450 4F11 expression by liver X receptor alpha.
Zhang T, Zhan Z, Chen Y, Chen J, Han W, Liang Z, Liu Q, Liu S, Tang L
International immunopharmacology 2021 Jan;90:107240
International immunopharmacology 2021 Jan;90:107240
No comments: Submit comment
Supportive validation
- Submitted by
- Proteintech Group (provider)
- Main image

- Experimental details
- mouse skeletal muscle tissue were subjected to SDS PAGE followed by western blot with 20012-1-AP(CYP4F11-Specific antibody) at dilution of 1:600
- Sample type
- tissue
Supportive validation
- Submitted by
- Proteintech Group (provider)
- Main image

- Experimental details
- Immunofluorescent analysis of HepG2 cells, using CYP4F11 antibody 20012-1-AP at 1:25 dilution and Rhodamine-labeled goat anti-rabbit IgG (red).
- Sample type
- cell line
Supportive validation
- Submitted by
- Proteintech Group (provider)
- Main image

- Experimental details
- Immunohistochemical of paraffin-embedded human hepatocirrhosis using 20012-1-AP(CYP4F11-Specific antibody) at dilution of 1:50 (under 10x lens)
- Sample type
- tissue
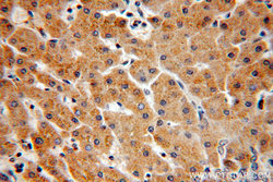
- Submitted by
- Proteintech Group (provider)
- Main image

- Experimental details
- Immunohistochemical of paraffin-embedded human hepatocirrhosis using 20012-1-AP(CYP4F11-Specific antibody) at dilution of 1:50 (under 40x lens)
- Sample type
- tissue