Antibody data
- Antibody Data
- Antigen structure
- References [0]
- Comments [0]
- Validations
- Western blot [1]
- Immunohistochemistry [1]
Submit
Validation data
Reference
Comment
Report error
- Product number
- AF5960 - Provider product page

- Provider
- Novus Biologicals
- Product name
- Sheep Polyclonal CTHRC1 Antibody
- Antibody type
- Polyclonal
- Description
- Immunogen affinity purified. Detects mouse CTHRC1 in direct ELISAs and Western blots.
- Reactivity
- Mouse
- Host
- Sheep
- Isotype
- IgG
- Vial size
- 100 ug
- Concentration
- LYOPH
- Storage
- Use a manual defrost freezer and avoid repeated freeze-thaw cycles. 12 months from date of receipt, -20 to -70 degreesC as supplied. 1 month, 2 to 8 degreesC under sterile conditions after reconstitution. 6 months, -20 to -70 degreesC under sterile conditions after reconstitution.
No comments: Submit comment
Supportive validation
- Submitted by
- Novus Biologicals (provider)
- Main image

- Experimental details
- Detection of Mouse CTHRC1 by Western Blot. Western blot shows lysates of NIH-3T3 mouse embryonic fibroblast cell line. PVDF membrane was probed with 1 µg/mL of Mouse CTHRC1 Antigen Affinity-purified Polyclonal Antibody (Catalog # AF5960) followed by HRP-conjugated Anti-Sheep IgG Secondary Antibody (Catalog # HAF016). A specific band was detected for CTHRC1 at approximately 30 kDa (as indicated). This experiment was conducted under reducing conditions and using Immunoblot Buffer Group 8.
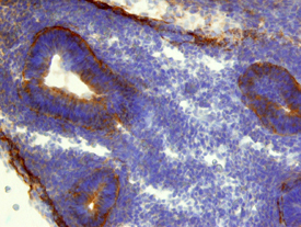
Supportive validation
- Submitted by
- Novus Biologicals (provider)
- Main image

- Experimental details
- CTHRC1 in Mouse Embryo. CTHRC1 was detected in immersion fixed frozen sections of mouse embryo (E13.5) using Mouse CTHRC1 Antigen Affinity-purified Polyclonal Antibody (Catalog # AF5960) at 15 µg/mL overnight at 4 °C. Tissue was stained using the Anti-Sheep HRP-DAB Cell & Tissue Staining Kit (brown; Catalog # CTS019) and counterstained with hematoxylin (blue). Specific staining was localized to cytoplasm. View our protocol for Chromogenic IHC Staining of Frozen Tissue Sections.