Antibody data
- Antibody Data
- Antigen structure
- References [0]
- Comments [0]
- Validations
- Immunohistochemistry [1]
Submit
Validation data
Reference
Comment
Report error
- Product number
- PAB27461 - Provider product page

- Provider
- Abnova Corporation
- Product name
- MAGED4B polyclonal antibody
- Antibody type
- Polyclonal
- Description
- Rabbit polyclonal antibody raised against recombinant MAGED4B.
- Antigen sequence
AEGSFSVQSESYSVEDMDEGSDEVGEEEMVEGNDY
EEFGAFGGYGTLTSFDIHILRAFGSLGPGLRILSN
EPWELENPVLAQTLVEALQLDPETLANETAARAAN
VARAAASNRAA- Isotype
- IgG
- Storage
- Store at 4°C. For long term storage store at -20°C.Aliquot to avoid repeated freezing and thawing.
No comments: Submit comment
Supportive validation
- Submitted by
- Abnova Corporation (provider)
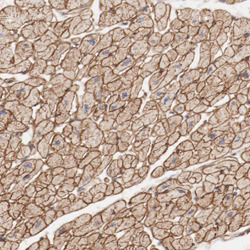
- Main image

- Experimental details
- Immunohistochemical staining of human heart muscle with MAGED4B polyclonal antibody (Cat # PAB27461) shows strong membranous and cytoplasmic positivity in myocytes at 1:200-1:500 dilution.
- Validation comment
- Immunohistochemistry (Formalin/PFA-fixed paraffin-embedded sections)