Antibody data
- Antibody Data
- Antigen structure
- References [0]
- Comments [0]
- Validations
- Immunohistochemistry [4]
Submit
Validation data
Reference
Comment
Report error
- Product number
- PA5-20470 - Provider product page

- Provider
- Invitrogen Antibodies
- Product name
- SLITRK1 Polyclonal Antibody
- Antibody type
- Polyclonal
- Antigen
- Synthetic peptide
- Description
- A suggested positive control is human brain tissue lysate. PA5-20470 can be used with blocking peptide PEP-0590.
- Reactivity
- Human, Mouse, Rat
- Host
- Rabbit
- Isotype
- IgG
- Vial size
- 100 μg
- Concentration
- 1 mg/mL
- Storage
- Maintain refrigerated at 2-8°C for up to 3 months. For long term storage store at -20°C
No comments: Submit comment
Supportive validation
- Submitted by
- Invitrogen Antibodies (provider)
- Main image

- Experimental details
- Immunofluorescence of slitrk1 in human brain tissue with SLITRK1 Polyclonal Antibody (Product # PA5-20470) at 20 µg/mL.
- Submitted by
- Invitrogen Antibodies (provider)
- Main image

- Experimental details
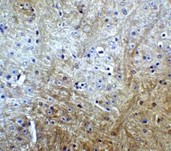
- Immunohistochemistry of Slitrk1 in mouse brain tissue with SLITRK1 Polyclonal Antibody (Product # PA5-20470) at 5 µg/mL.
- Submitted by
- Invitrogen Antibodies (provider)
- Main image

- Experimental details
- Immunofluorescence of Slitrk1 in mouse brain tissue with SLITRK1 Polyclonal Antibody (Product # PA5-20470) at 20 µg/mL. Green: Slitrk1 Red: Phylloidin staining Blue: DAPI staining
- Submitted by
- Invitrogen Antibodies (provider)
- Main image

- Experimental details
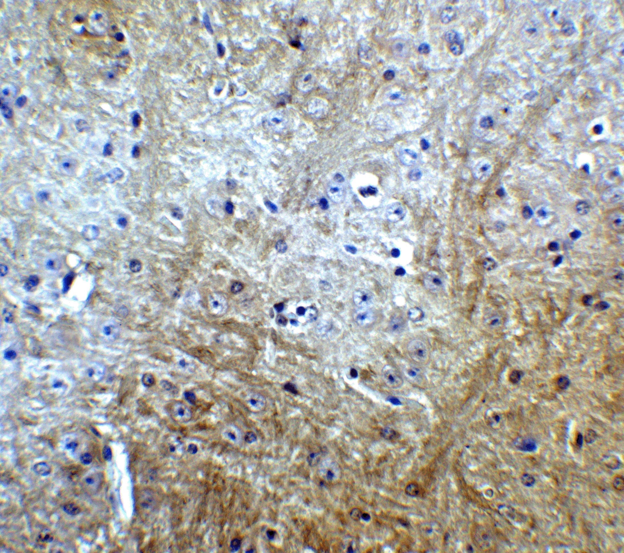
- Immunohistochemistry of Slitrk1 in human brain tissue with SLITRK1 Polyclonal Antibody (Product # PA5-20470) at 2.5 µg/mL.