Antibody data
- Antibody Data
- Antigen structure
- References [0]
- Comments [0]
- Validations
- Western blot [1]
- Immunohistochemistry [4]
Submit
Validation data
Reference
Comment
Report error
- Product number
- LS-B10918 - Provider product page

- Provider
- LSBio
- Product name
- IHC-plus™ ANK2 / Ankyrin B Antibody (aa203-496, clone S105-17) LS-B10918
- Antibody type
- Monoclonal
- Description
- Protein G purified from tissue culture supernatant
- Reactivity
- Human, Mouse, Rat
- Host
- Mouse
- Isotype
- IgG
- Antibody clone number
- S105-17
- Storage
- Store at -20°C.
No comments: Submit comment
Enhanced validation
- Submitted by
- LSBio (provider)
- Enhanced method
- Genetic validation
- Main image

- Experimental details
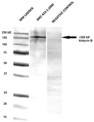
- Western blot of rat brain membrane lysates showing the detection of ~200kDa Ankyrin B protein using Anti-Ankyrin B antibody [S105-17] (ANK2 / Ankyrin B antibody). Lane 1: MW ladder. Lane 2: Anti-Ankyrin B (1:1000). Lane 3: Negative control (no primary Ab). Load: 33 ug per lane. Block: 5% milk + TBST overnight at 4°C. Primary antibody: Mouse Anti-Ankyrin B antibody [S105-17] (ANK2 / Ankyrin B antibody) at 1:1000 dilution in TBS for 60 min at RT. This image was taken for the unconjugated form of this product. Other forms have not been tested.
Supportive validation
- Submitted by
- LSBio (provider)
- Enhanced method
- Genetic validation
- Main image

- Experimental details
- Anti-ANK2 / Ankyrin B antibody IHC staining of human brain, cerebellum. Immunohistochemistry of formalin-fixed, paraffin-embedded tissue after heat-induced antigen retrieval. Antibody concentration 10 ug/ml. This image was taken for the unconjugated form of this product. Other forms have not been tested.
- Submitted by
- LSBio (provider)
- Enhanced method
- Genetic validation
- Main image

- Experimental details
- Anti-ANK2 / Ankyrin B antibody IHC staining of human prostate. Immunohistochemistry of formalin-fixed, paraffin-embedded tissue after heat-induced antigen retrieval. This image was taken for the unconjugated form of this product. Other forms have not been tested.
- Submitted by
- LSBio (provider)
- Enhanced method
- Genetic validation
- Main image

- Experimental details
- Anti-ANK2 / Ankyrin B antibody IHC staining of human brain, cerebellum. Immunohistochemistry of formalin-fixed, paraffin-embedded tissue after heat-induced antigen retrieval. Antibody concentration 10 ug/ml. This image was taken for the unconjugated form of this product. Other forms have not been tested.
- Submitted by
- LSBio (provider)
- Enhanced method
- Genetic validation
- Main image

- Experimental details
- Anti-ANK2 / Ankyrin B antibody IHC staining of human prostate. Immunohistochemistry of formalin-fixed, paraffin-embedded tissue after heat-induced antigen retrieval. This image was taken for the unconjugated form of this product. Other forms have not been tested.