Antibody data
- Antibody Data
- Antigen structure
- References [0]
- Comments [0]
- Validations
- Western blot [1]
- Immunohistochemistry [1]
- Flow cytometry [1]
Submit
Validation data
Reference
Comment
Report error
- Product number
- MAB9970-100 - Provider product page

- Provider
- Novus Biologicals
- Product name
- Rabbit Monoclonal Asialoglycoprotein Receptor 2 Antibody
- Antibody type
- Monoclonal
- Description
- Protein A or G purified from hybridoma culture supernatant. Detects human ASGR2 in direct ELISAs.
- Reactivity
- Human
- Host
- Rabbit
- Conjugate
- Unconjugated
- Isotype
- IgG
- Vial size
- 100 ug
- Storage
- Use a manual defrost freezer and avoid repeated freeze-thaw cycles. 12 months from date of receipt, -20 to -70 degreesC, as supplied. 1 month, 2 to 8 degreesC under sterile conditions after opening. 6 months, -20 to -70 degreesC under sterile conditions after opening.
No comments: Submit comment
Supportive validation
- Submitted by
- Novus Biologicals (provider)
- Main image

- Experimental details
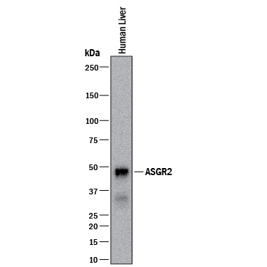
- Detection of Human ASGR2 by Western Blot. Detection of Human ASGR2 by Western Blot.
Supportive validation
- Submitted by
- Novus Biologicals (provider)
- Main image

- Experimental details
- ASGR2 in Human Liver. ASGR2 in Human Liver.
Supportive validation
- Submitted by
- Novus Biologicals (provider)
- Main image

- Experimental details
- Detection of ASGR2 in HEK293 Human Cell Line Transfected with Human ASGR2 and eGFP by Flow Cytometry. Detection of ASGR2 in HEK293 Human Cell Line Transfected with Human ASGR2 and eGFP by Flow Cytometry.