Antibody data
- Antibody Data
- Antigen structure
- References [1]
- Comments [0]
- Validations
- Western blot [1]
- Immunohistochemistry [9]
Submit
Validation data
Reference
Comment
Report error
- Product number
- NBP1-85347 - Provider product page

- Provider
- Novus Biologicals
- Proper citation
- Novus Cat#NBP1-85347, RRID:AB_11016881
- Product name
- Rabbit Polyclonal ZFPL1 Antibody
- Antibody type
- Polyclonal
- Description
- Immunogen affinity purified. Specificity of human ZFPL1 antibody verified on a Protein Array containing target protein plus 383 other non-specific proteins.
- Reactivity
- Human
- Host
- Rabbit
- Isotype
- IgG
- Vial size
- 0.1 ml
- Storage
- Store at 4C short term. Aliquot and store at -20C long term. Avoid freeze-thaw cycles.
Submitted references Membrane trafficking. The specificity of vesicle traffic to the Golgi is encoded in the golgin coiled-coil proteins.
Wong M, Munro S
Science (New York, N.Y.) 2014 Oct 31;346(6209):1256898
Science (New York, N.Y.) 2014 Oct 31;346(6209):1256898
No comments: Submit comment
Supportive validation
- Submitted by
- Novus Biologicals (provider)
- Main image

- Experimental details
- Western Blot: ZFPL1 Antibody [NBP1-85347] - Analysis in U2OS cells transfected with control siRNA, target specific siRNA probe #1 and #2, using Anti-ZFPL1 antibody. Remaining relative intensity is presented.
Supportive validation
- Submitted by
- Novus Biologicals (provider)
- Main image

- Experimental details
- Immunohistochemistry-Paraffin: ZFPL1 Antibody [NBP1-85347] - Staining of human pancreas shows strong cytoplasmic positivity in granular pattern in exocrine glandular cells.
- Submitted by
- Novus Biologicals (provider)
- Main image

- Experimental details
- Immunohistochemistry-Paraffin: ZFPL1 Antibody [NBP1-85347] - Staining of human cerebral cortex, colon, pancreas and testis using Anti-ZFPL1 antibody NBP1-85347 (A) shows similar protein distribution across tissues to independent antibody NBP1-85346 (B).
- Submitted by
- Novus Biologicals (provider)
- Main image

- Experimental details
- Immunohistochemistry-Paraffin: ZFPL1 Antibody [NBP1-85347] - Staining of human cerebral cortex shows moderate to strong granular cytoplasmic positivity in neuronal cells.
- Submitted by
- Novus Biologicals (provider)
- Main image

- Experimental details
- Immunohistochemistry-Paraffin: ZFPL1 Antibody [NBP1-85347] - Staining of human testis.
- Submitted by
- Novus Biologicals (provider)
- Main image

- Experimental details
- Immunohistochemistry-Paraffin: ZFPL1 Antibody [NBP1-85347] - Staining of human fallopian tube shows moderate to strong positivity in golgi apparatus in glandular cells.
- Submitted by
- Novus Biologicals (provider)
- Main image

- Experimental details
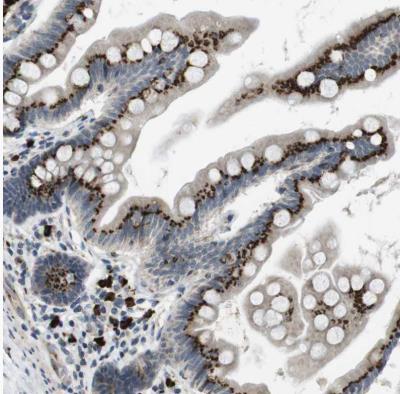
- Immunohistochemistry-Paraffin: ZFPL1 Antibody [NBP1-85347] - Staining of human small intestine shows moderate to strong positivity in golgi apparatus in glandular cells.
- Submitted by
- Novus Biologicals (provider)
- Main image

- Experimental details
- Immunohistochemistry-Paraffin: ZFPL1 Antibody [NBP1-85347] - Staining of human pancreas using Anti-ZFPL1 antibody NBP1-85347.
- Submitted by
- Novus Biologicals (provider)
- Main image

- Experimental details
- Immunohistochemistry-Paraffin: ZFPL1 Antibody [NBP1-85347] - Staining of human colon.
- Submitted by
- Novus Biologicals (provider)
- Main image

- Experimental details
- Immunohistochemistry-Paraffin: ZFPL1 Antibody [NBP1-85347] - Staining of human cerebral cortex using Anti-ZFPL1 antibody NBP1-85347.