PA5-63836
antibody from Invitrogen Antibodies
Targeting: MROH8
C20orf131, C20orf132, dJ621N11.3, dJ621N11.4
Antibody data
- Antibody Data
- Antigen structure
- References [0]
- Comments [0]
- Validations
- Immunocytochemistry [2]
- Immunohistochemistry [1]
Submit
Validation data
Reference
Comment
Report error
- Product number
- PA5-63836 - Provider product page

- Provider
- Invitrogen Antibodies
- Product name
- C20orf132 Polyclonal Antibody
- Antibody type
- Polyclonal
- Antigen
- Recombinant protein fragment
- Description
- Immunogen sequence: EPLSHSPRHL TQQDPLSEAI VEKLIQSIQK VFNGELKGEL EKLKFLGDLS SLSQALPHDE TAKSFIHSHI ADIVHTLNVL VQEERPHSLS SSMRQEVFVT IAD Highest antigen sequence identity to the following orthologs: Mouse - 63%, Rat - 65%.
- Reactivity
- Human
- Host
- Rabbit
- Isotype
- IgG
- Vial size
- 100 μL
- Concentration
- 0.4 mg/mL
- Storage
- Store at 4°C short term. For long term storage, store at -20°C, avoiding freeze/thaw cycles.
No comments: Submit comment
Supportive validation
- Submitted by
- Invitrogen Antibodies (provider)
- Main image

- Experimental details
- Immunofluorescent staining of C20orf132 in human cell line SH-SY5Y using a C20orf132 Polyclonal Antibody (Product # PA5-63836) shows localization to nucleus and cytosol.
- Submitted by
- Invitrogen Antibodies (provider)
- Main image

- Experimental details
- Immunofluorescent staining of C20orf132 in human cell line SH-SY5Y using a C20orf132 Polyclonal Antibody (Product # PA5-63836) shows localization to nucleus and cytosol.
Supportive validation
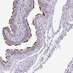
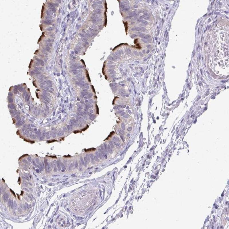
- Submitted by
- Invitrogen Antibodies (provider)
- Main image

- Experimental details
- Immunohistochemical analysis of C20orf132 in human fallopian tube using C20orf132 Polyclonal Antibody (Product # PA5-63836) shows distinct membranous positivity in glandular cells.