PAB27918
antibody from Abnova Corporation
Targeting: SPNS1
HSpin1, LAT, nrs, PP2030, SLC62A1, SPIN1, SPINL
Antibody data
- Antibody Data
- Antigen structure
- References [0]
- Comments [0]
- Validations
- Immunohistochemistry [1]
Submit
Validation data
Reference
Comment
Report error
- Product number
- PAB27918 - Provider product page

- Provider
- Abnova Corporation
- Product name
- SPNS1 polyclonal antibody
- Antibody type
- Polyclonal
- Description
- Rabbit polyclonal antibody raised against recombinant SPNS1.
- Antigen sequence
MAGSDTAPFLSQADDPDDGPVPGTPGLPGSTGNPK
SEEPEVPDQEGLQRITGLSPGRS- Isotype
- IgG
- Storage
- Store at 4°C. For long term storage store at -20°C.Aliquot to avoid repeated freezing and thawing.
No comments: Submit comment
Supportive validation
- Submitted by
- Abnova Corporation (provider)
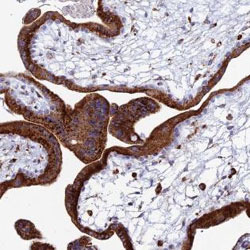
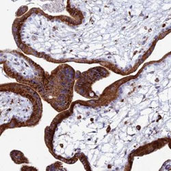
- Main image

- Experimental details
- Immunohistochemical staining of human placenta with SPNS1 polyclonal antibody (Cat # PAB27918) shows strong cytoplasmic positivity in trophoblastic cells at 1:50-1:200 dilution.
- Validation comment
- Immunohistochemistry (Formalin/PFA-fixed paraffin-embedded sections)