NBP2-41252
antibody from Novus Biologicals
Targeting: SPNS1
HSpin1, LAT, nrs, PP2030, SLC62A1, SPIN1, SPINL
Antibody data
- Antibody Data
- Antigen structure
- References [0]
- Comments [0]
- Validations
- Western blot [2]
- Immunohistochemistry [2]
Submit
Validation data
Reference
Comment
Report error
- Product number
- NBP2-41252 - Provider product page

- Provider
- Novus Biologicals
- Product name
- Rabbit Polyclonal SPNS1 Antibody
- Antibody type
- Polyclonal
- Description
- Peptide affinity purified. SPINSTER antibody is human specific. At least four isoforms of SPINSTER are known to exist. This antibody is predicted to not cross-react with other members of the spinster family of proteins.
- Reactivity
- Human
- Host
- Rabbit
- Isotype
- IgG
- Vial size
- 0.1 mg
- Concentration
- 1 mg/ml
- Storage
- Store at 4C short term. Aliquot and store at -20C long term. Avoid freeze-thaw cycles.
No comments: Submit comment
Supportive validation
- Submitted by
- Novus Biologicals (provider)
- Main image

- Experimental details
- Western Blot: SPNS1 Antibody [NBP2-41252] - Western blot analysis of SPINSTER in human placenta tissue lysate with SPINSTER antibody at (A) 1 and (B) 2 ug/ml.
- Submitted by
- Novus Biologicals (provider)
- Main image

- Experimental details
- Western Blot: SPNS1 Antibody [NBP2-41252] - Analysis of SPINSTER in HepG2 cell lysate with SPINSTER antibody at (A) 1 and (B) 2 ug/ml.
Supportive validation
- Submitted by
- Novus Biologicals (provider)
- Main image

- Experimental details
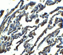
- Immunohistochemistry: SPNS1 Antibody [NBP2-41252] - Human lung tissue at 20 ug/ml.
- Submitted by
- Novus Biologicals (provider)
- Main image

- Experimental details
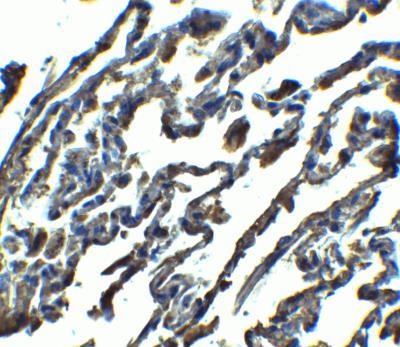
- Immunohistochemistry-Paraffin: SPNS1 Antibody [NBP2-41252] - Human lung tissue at 2.5 ug/ml.