PA5-59813
antibody from Invitrogen Antibodies
Targeting: SPNS1
HSpin1, LAT, nrs, PP2030, SLC62A1, SPIN1, SPINL
Antibody data
- Antibody Data
- Antigen structure
- References [0]
- Comments [0]
- Validations
- Immunohistochemistry [4]
Submit
Validation data
Reference
Comment
Report error
- Product number
- PA5-59813 - Provider product page

- Provider
- Invitrogen Antibodies
- Product name
- SPNS1 Polyclonal Antibody
- Antibody type
- Polyclonal
- Antigen
- Recombinant protein fragment
- Description
- Immunogen sequence: MAGSDTAPFL SQADDPDDGP VPGTPGLPGS TGNPKSEEPE VPDQEGLQRI TGLSPGRS Highest antigen sequence identity to the following orthologs: Mouse - 84%, Rat - 84%.
- Reactivity
- Human
- Host
- Rabbit
- Isotype
- IgG
- Vial size
- 100 μL
- Concentration
- 0.1 mg/mL
- Storage
- Store at 4°C short term. For long term storage, store at -20°C, avoiding freeze/thaw cycles.
No comments: Submit comment
Supportive validation
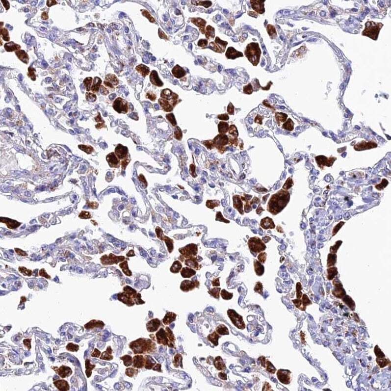
- Submitted by
- Invitrogen Antibodies (provider)
- Main image

- Experimental details
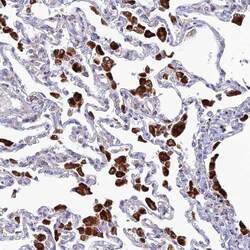
- Immunohistochemical analysis of SPNS1 in human lung using SPNS1 Polyclonal Antibody (Product # PA5-59813) shows strong granular cytoplasmic positivity in macrophages.
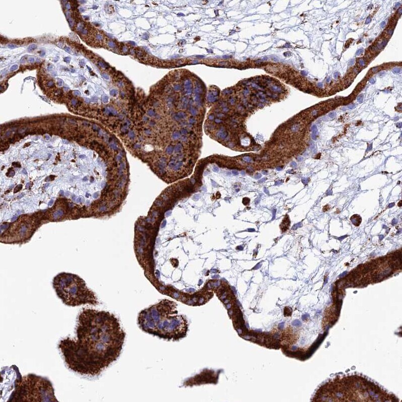
- Submitted by
- Invitrogen Antibodies (provider)
- Main image

- Experimental details
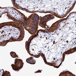
- Immunohistochemical analysis of SPNS1 in human placenta using SPNS1 Polyclonal Antibody (Product # PA5-59813) shows strong granular cytoplasmic positivity in trophoblastic cells.
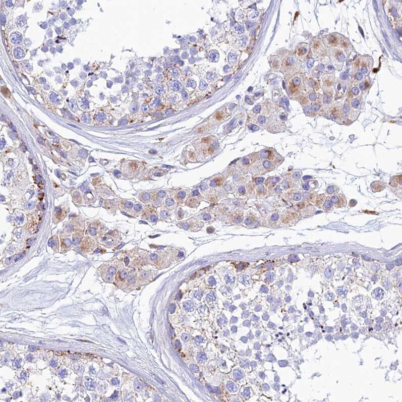
- Submitted by
- Invitrogen Antibodies (provider)
- Main image

- Experimental details
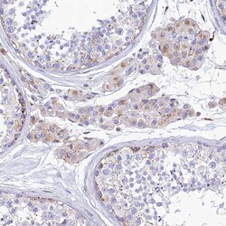
- Immunohistochemical analysis of SPNS1 in human testis using SPNS1 Polyclonal Antibody (Product # PA5-59813) shows weak granular cytoplasmic positivity in Leydig cells.
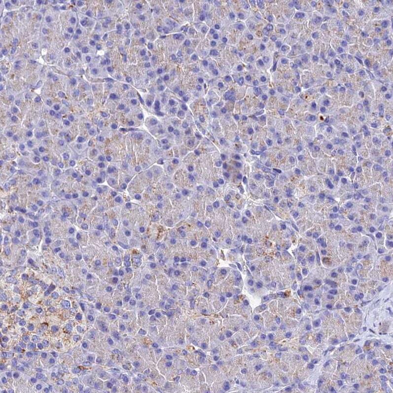
- Submitted by
- Invitrogen Antibodies (provider)
- Main image

- Experimental details
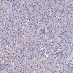
- Immunohistochemical analysis of SPNS1 in human pancreas using SPNS1 Polyclonal Antibody (Product # PA5-59813) shows very weak positivity in exocrine glandular cells as expected.