NBP1-92440
antibody from Novus Biologicals
Targeting: SPNS1
HSpin1, LAT, nrs, PP2030, SLC62A1, SPIN1, SPINL
Antibody data
- Antibody Data
- Antigen structure
- References [0]
- Comments [0]
- Validations
- Western blot [3]
- Immunohistochemistry [14]
Submit
Validation data
Reference
Comment
Report error
- Product number
- NBP1-92440 - Provider product page

- Provider
- Novus Biologicals
- Proper citation
- Novus Cat#NBP1-92440, RRID:AB_11006824
- Product name
- Rabbit Polyclonal SPNS1 Antibody
- Antibody type
- Polyclonal
- Description
- Immunogen affinity purified. Specificity of human SPNS1 antibody verified on a Protein Array containing target protein plus 383 other non-specific proteins.
- Reactivity
- Human
- Host
- Rabbit
- Isotype
- IgG
- Vial size
- 0.1 ml
- Storage
- Store at 4C short term. Aliquot and store at -20C long term. Avoid freeze-thaw cycles.
No comments: Submit comment
Supportive validation
- Submitted by
- Novus Biologicals (provider)
- Main image

- Experimental details
- Western Blot: SPNS1 Antibody [NBP1-92440] - Lane 1: Marker [kDa] 250, 130, 100, 70, 55, 35, 25, 15, 10. Lane 2: HEK 293
- Submitted by
- Novus Biologicals (provider)
- Main image

- Experimental details
- Western Blot: SPNS1 Antibody [NBP1-92440] - Analysis in control (vector only transfected HEK293T lysate) and SPNS1 over-expression lysate (Co-expressed with a C-terminal myc-DDK tag (3.1 kDa) in mammalian HEK293T cells).
- Submitted by
- Novus Biologicals (provider)
- Main image

- Experimental details
- Western Blot: SPNS1 Antibody [NBP1-92440] - Analysis in human cell line HEK 293.
Supportive validation
- Submitted by
- Novus Biologicals (provider)
- Main image

- Experimental details
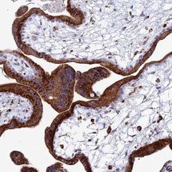
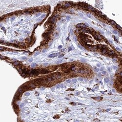
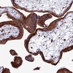
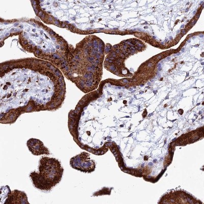
- Immunohistochemistry: SPNS1 Antibody [NBP1-92440] - Staining of human placenta shows strong cytoplasmic positivity in trophoblastic cells.
- Submitted by
- Novus Biologicals (provider)
- Main image

- Experimental details
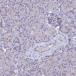
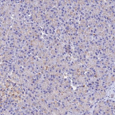
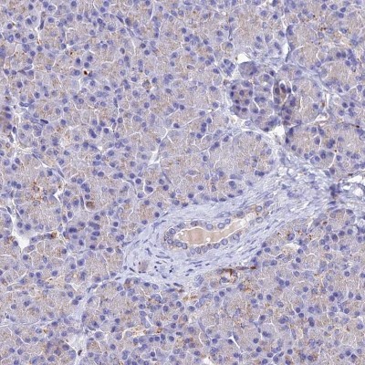
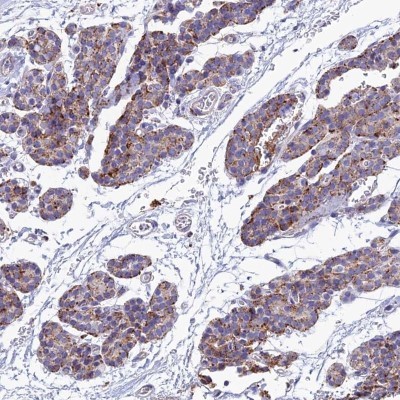
- Immunohistochemistry-Paraffin: SPNS1 Antibody [NBP1-92440] - Staining of human pancreas shows low expression as expected.
- Submitted by
- Novus Biologicals (provider)
- Main image

- Experimental details
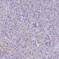
- Immunohistochemistry-Paraffin: SPNS1 Antibody [NBP1-92440] - Staining of human parathyroid gland shows high expression.
- Submitted by
- Novus Biologicals (provider)
- Main image

- Experimental details
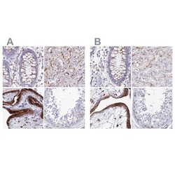
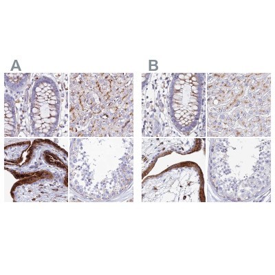
- Immunohistochemistry-Paraffin: SPNS1 Antibody [NBP1-92440] - Staining of human colon, liver, placenta and testis using Anti-SPNS1 antibody NBP1-92440 (A) shows similar protein distribution across tissues to independent antibody NBP1-92441 (B).
- Submitted by
- Novus Biologicals (provider)
- Main image

- Experimental details
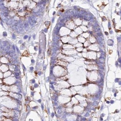
- Immunohistochemistry-Paraffin: SPNS1 Antibody [NBP1-92440] - Staining of human colon.
- Submitted by
- Novus Biologicals (provider)
- Main image

- Experimental details
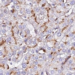
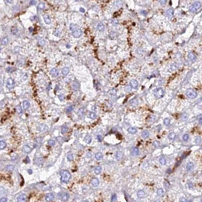
- Immunohistochemistry-Paraffin: SPNS1 Antibody [NBP1-92440] - Staining of human liver.
- Submitted by
- Novus Biologicals (provider)
- Main image

- Experimental details
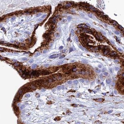
- Immunohistochemistry-Paraffin: SPNS1 Antibody [NBP1-92440] - Staining of human placenta.
- Submitted by
- Novus Biologicals (provider)
- Main image

- Experimental details
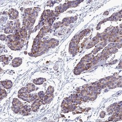
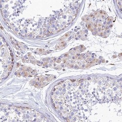
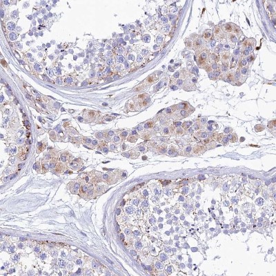
- Immunohistochemistry-Paraffin: SPNS1 Antibody [NBP1-92440] - Staining of human testis.
- Submitted by
- Novus Biologicals (provider)
- Main image

- Experimental details
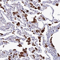
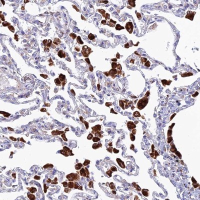
- Immunohistochemistry-Paraffin: SPNS1 Antibody [NBP1-92440] - Staining of human lung shows strong granular cytoplasmic positivity in macrophages.
- Submitted by
- Novus Biologicals (provider)
- Main image

- Experimental details
- Immunohistochemistry-Paraffin: SPNS1 Antibody [NBP1-92440] - Staining of human lung, pancreas, placenta and testis using Anti-SPNS1 antibody NBP1-92440 (A) shows similar protein distribution across tissues to independent antibody NBP1-92441 (B).
- Submitted by
- Novus Biologicals (provider)
- Main image

- Experimental details
- Immunohistochemistry-Paraffin: SPNS1 Antibody [NBP1-92440] - Staining of human placenta shows strong granular cytoplasmic positivity in trophoblastic cells.
- Submitted by
- Novus Biologicals (provider)
- Main image

- Experimental details
- Immunohistochemistry-Paraffin: SPNS1 Antibody [NBP1-92440] - Staining of human pancreas shows very weak positivity in exocrine glandular cells as expected.
- Submitted by
- Novus Biologicals (provider)
- Main image

- Experimental details
- Immunohistochemistry-Paraffin: SPNS1 Antibody [NBP1-92440] - Staining of human testis shows weak granular cytoplasmic positivity in Leydig cells.
- Submitted by
- Novus Biologicals (provider)
- Main image

- Experimental details
- Immunohistochemistry-Paraffin: SPNS1 Antibody [NBP1-92440] - Staining in human lung and pancreas tissues using NBP1-92440 antibody. Corresponding SPNS1 RNA-seq data are presented for the same tissues.