Antibody data
- Antibody Data
- Antigen structure
- References [0]
- Comments [0]
- Validations
- Immunohistochemistry [5]
Submit
Validation data
Reference
Comment
Report error
- Product number
- PA5-62346 - Provider product page

- Provider
- Invitrogen Antibodies
- Product name
- FAM83F Polyclonal Antibody
- Antibody type
- Polyclonal
- Antigen
- Recombinant protein fragment
- Description
- Immunogen sequence: KYALVSGCRH PPGEMMRWAA RQQREAGGNP EGQEEGASGG ESAWRLESFL KDLVTVEQVL PPVEPIPLGE LSQKDGRMVS HMHR Highest antigen sequence identity to the following orthologs: Mouse - 74%, Rat - 71%.
- Reactivity
- Human
- Host
- Rabbit
- Isotype
- IgG
- Vial size
- 100 μL
- Concentration
- 0.05 mg/mL
- Storage
- Store at 4°C short term. For long term storage, store at -20°C, avoiding freeze/thaw cycles.
No comments: Submit comment
Supportive validation
- Submitted by
- Invitrogen Antibodies (provider)
- Main image

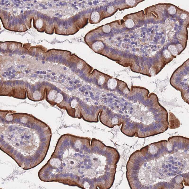
- Experimental details
- Immunohistochemical analysis of FAM83F in human small intestine using FAM83F Polyclonal Antibody (Product # PA5-62346) shows strong membranous positivity in glandular cells.
- Submitted by
- Invitrogen Antibodies (provider)
- Main image

- Experimental details
- Immunohistochemical analysis of FAM83F in human lymph node using FAM83F Polyclonal Antibody (Product # PA5-62346) shows no positivity in non-germinal center cells as expected.
- Submitted by
- Invitrogen Antibodies (provider)
- Main image

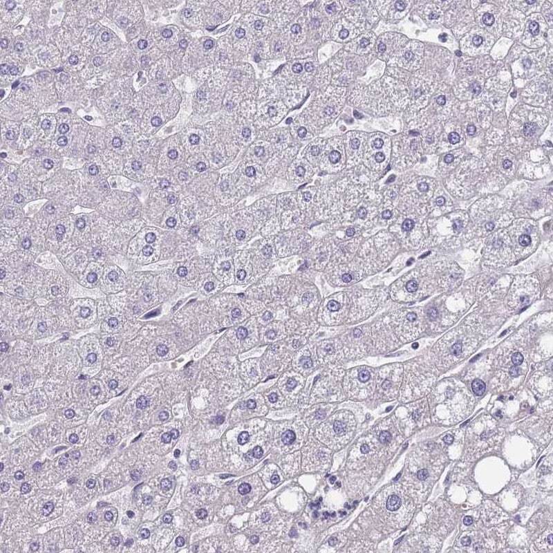
- Experimental details
- Immunohistochemical analysis of FAM83F in human liver using FAM83F Polyclonal Antibody (Product # PA5-62346) shows no positivity in hepatocytes as expected.
- Submitted by
- Invitrogen Antibodies (provider)
- Main image

- Experimental details
- Immunohistochemical staining of FAM83F in human small intestine and liver tissues using FAM83F Polyclonal Antibody (Product # PA5-62346). Corresponding FAM83F RNA-seq data are presented for the same tissues.
- Submitted by
- Invitrogen Antibodies (provider)
- Main image

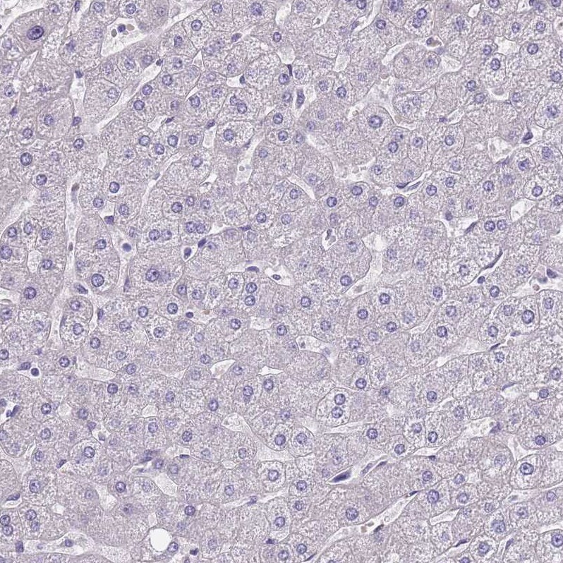
- Experimental details
- Immunohistochemical staining of FAM83F in human liver using FAM83F Polyclonal Antibody (Product # PA5-62346) shows low expression as expected.