Antibody data
- Antibody Data
- Antigen structure
- References [0]
- Comments [0]
- Validations
- Immunohistochemistry [2]
Submit
Validation data
Reference
Comment
Report error
- Product number
- RZ1140 - Provider product page

- Provider
- NSJ Bioreagents
- Product name
- Zebrafish Nol10 Antibody / Nucleolar protein 10
- Antibody type
- Polyclonal
- Description
- Antigen affinity purified
- Reactivity
- Zebrafish
- Host
- Rabbit
- Vial size
- 100 ug
- Concentration
- Lyophilized
- Storage
- After reconstitution, the Zebrafish Nol10 antibody can be stored for up to one month at 4oC. For long-term, aliquot and store at -20oC. Avoid repeated freezing and thawing.
No comments: Submit comment
Supportive validation
- Submitted by
- NSJ Bioreagents (provider)
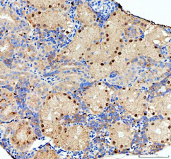
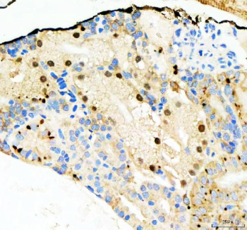
- Main image

- Experimental details
- Immunohistochemical analysis of Nol10 protein using Zebrafish Nol10 antibody, HRP secondary and DAB substrate with paraffin-embedded zebrafish kidney tissue. HIER: boil tissue sections in pH8 EDTA for 20 min and allow to cool before testing.
- Submitted by
- NSJ Bioreagents (provider)
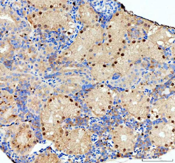
- Main image

- Experimental details
- Immunohistochemical analysis of Nol10 protein using Zebrafish Nol10 antibody, HRP secondary and DAB substrate with paraffin-embedded zebrafish kidney tissue. HIER: boil tissue sections in pH8 EDTA for 20 min and allow to cool before testing.