Antibody data
- Antibody Data
- Antigen structure
- References [0]
- Comments [0]
- Validations
- Western blot [1]
- Immunohistochemistry [1]
Submit
Validation data
Reference
Comment
Report error
- Product number
- TA306824 - Provider product page

- Provider
- OriGene
- Product name
- Rabbit Polyclonal ABIN3 Antibody
- Antibody type
- Polyclonal
- Description
- Rabbit Polyclonal ABIN3 Antibody
- Host
- Rabbit
- Conjugate
- Unconjugated
- Epitope
- TNIP3
- Isotype
- IgG
- Antibody clone number
- NULL
- Vial size
- 100 µg
- Concentration
- 1ug/ul
No comments: Submit comment
Supportive validation
- Submitted by
- OriGene (provider)
- Main image

- Experimental details
- Western blot analysis of ABIN3 in human spleen tissue lysate with ABIN3 antibody at 1 ug/ml in (A) the absence and (B) the presence of blocking peptide.
- Validation comment
- WB
Supportive validation
- Submitted by
- OriGene (provider)
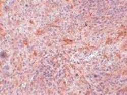
- Main image

- Experimental details
- Immunohistochemistry of ABIN3 in mouse spleen tissue with ABIN3 antibody at 5 ug/ml.
- Validation comment
- IHC