Antibody data
- Antibody Data
- Antigen structure
- References [0]
- Comments [0]
- Validations
- Western blot [1]
- Immunohistochemistry [1]
Submit
Validation data
Reference
Comment
Report error
- Product number
- PAB16807 - Provider product page

- Provider
- Abnova Corporation
- Proper citation
- Abnova Corporation Cat#PAB16807, RRID:AB_10678038
- Product name
- TNIP3 polyclonal antibody
- Antibody type
- Polyclonal
- Description
- Rabbit polyclonal antibody raised against synthetic peptide of TNIP3.
- Storage
- Store at 4°C for three months. For long term storage store at -20°C.Aliquot to avoid repeated freezing and thawing.
No comments: Submit comment
Supportive validation
- Submitted by
- Abnova Corporation (provider)
- Main image

- Experimental details
- Western blot analysis of TNIP3 in human spleen tissue lysate with TNIP3 polyclonal antibody (Cat # PAB16807) at 1 ug/mL in (A) the absence and (B) the presence of blocking peptide.
Supportive validation
- Submitted by
- Abnova Corporation (provider)
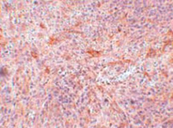
- Main image

- Experimental details
- Immunohistochemical staining of mouse spleen tissue with 5 ug/mL TNIP3 polyclonal antibody (Cat # PAB16807).
- Validation comment
- Immunohistochemistry