Antibody data
- Antibody Data
- Antigen structure
- References [0]
- Comments [0]
- Validations
- Western blot [1]
- Immunohistochemistry [1]
Submit
Validation data
Reference
Comment
Report error
- Product number
- NBP1-77365 - Provider product page

- Provider
- Novus Biologicals
- Proper citation
- Novus Cat#NBP1-77365, RRID:AB_11031700
- Product name
- Rabbit Polyclonal TNIP3 Antibody
- Antibody type
- Polyclonal
- Description
- Peptide affinity purified.
- Reactivity
- Human, Mouse
- Host
- Rabbit
- Isotype
- IgG
- Vial size
- 0.1 mg
- Concentration
- 1 mg/ml
- Storage
- Store at 4C short term. Aliquot and store at -20C long term. Avoid freeze-thaw cycles.
No comments: Submit comment
Supportive validation
- Submitted by
- Novus Biologicals (provider)
- Main image

- Experimental details
- Western Blot: TNIP3 Antibody [NBP1-77365] - Human spleen tissue lysate with TNIP3 antibody at 1 ug/ml in (A) the absence and (B) the presence of blocking peptide.
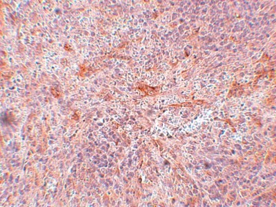
Supportive validation
- Submitted by
- Novus Biologicals (provider)
- Main image

- Experimental details
- Immunohistochemistry-Paraffin: TNIP3 Antibody [NBP1-77365] - Mouse spleen tissue with TNIP3 antibody at 5 ug/ml.