Antibody data
- Antibody Data
- Antigen structure
- References [4]
- Comments [0]
- Validations
- Western blot [1]
- Immunohistochemistry [2]
Submit
Validation data
Reference
Comment
Report error
- Product number
- 16274-1-AP - Provider product page

- Provider
- Proteintech Group
- Proper citation
- Proteintech Cat#16274-1-AP, RRID:AB_2062522
- Product name
- ATP6V1C2 antibody
- Antibody type
- Polyclonal
- Description
- ATP6V1C2 antibody (Cat. #16274-1-AP) is a rabbit polyclonal antibody that shows reactivity with human, mouse and has been validated for the following applications: IHC, WB,ELISA.
- Reactivity
- Human, Mouse
- Host
- Rabbit
- Conjugate
- Unconjugated
- Isotype
- IgG
- Vial size
- 20ul, 150ul
Submitted references Senescence-associated lysosomal dysfunction impairs cystine deprivation-induced lipid peroxidation and ferroptosis.
Comprehensive analysis of ATP6V1s family member, ATP6V1C2, with prognostic and drug development values in colorectal cancer.
High Expression of ATP6V1C2 Predicts Unfavorable Overall Survival in Patients With Colon Adenocarcinoma.
Effects of Inorganic Arsenic on Human Prostate Stem-Progenitor Cell Transformation, Autophagic Flux Blockade, and NRF2 Pathway Activation.
Loo TM, Zhou X, Tanaka Y, Sugawara S, Yamauchi S, Kawasaki H, Matsuoka Y, Sugiura Y, Sakuma S, Yamanishi Y, Yotsumoto S, Dodo K, Shirasaki Y, Kamatani T, Takahashi A
Nature communications 2025 Jul 29;16(1):6617
Nature communications 2025 Jul 29;16(1):6617
Comprehensive analysis of ATP6V1s family member, ATP6V1C2, with prognostic and drug development values in colorectal cancer.
Li J, Li J, Chen J, Cao W, Chen B
Pathology, research and practice 2024 Jun;258:155357
Pathology, research and practice 2024 Jun;258:155357
High Expression of ATP6V1C2 Predicts Unfavorable Overall Survival in Patients With Colon Adenocarcinoma.
Li G, Huang J, Chen S, He Y, Wang Z, Peng J
Frontiers in genetics 2022;13:930876
Frontiers in genetics 2022;13:930876
Effects of Inorganic Arsenic on Human Prostate Stem-Progenitor Cell Transformation, Autophagic Flux Blockade, and NRF2 Pathway Activation.
Xie L, Hu WY, Hu DP, Shi G, Li Y, Yang J, Prins GS
Environmental health perspectives 2020 Jun;128(6):67008
Environmental health perspectives 2020 Jun;128(6):67008
No comments: Submit comment
Supportive validation
- Submitted by
- Proteintech Group (provider)
- Main image

- Experimental details
- human kidney tissue were subjected to SDS PAGE followed by western blot with 16274-1-AP(ATP6V1C2 antibody) at dilution of 1:500
- Sample type
- tissue
Supportive validation
- Submitted by
- Proteintech Group (provider)
- Main image

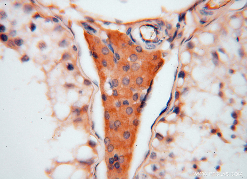
- Experimental details
- Immunohistochemical of paraffin-embedded human testis using 16274-1-AP(ATP6V1C2 antibody) at dilution of 1:50 (under 10x lens)
- Sample type
- tissue
- Submitted by
- Proteintech Group (provider)
- Main image

- Experimental details
- The ATP6V1C2 antibody from Proteintech is a rabbit polyclonal antibody to a recombinant protein of human ATP6V1C2. This antibody recognizes human, mouse, rat antigen. The ATP6V1C2 antibody has been validated for the following applications: ELISA, WB, IHC analysis.