Antibody data
- Antibody Data
- Antigen structure
- References [0]
- Comments [0]
- Validations
- Western blot [1]
- Immunohistochemistry [2]
Submit
Validation data
Reference
Comment
Report error
- Product number
- AP23158PU-N - Provider product page

- Provider
- Acris Antibodies GmbH
- Proper citation
- Acris Antibodies GmbH Cat#AP23158PU-N, RRID:AB_10844858
- Product name
- anti SPI1 / PU.1
- Antibody type
- Polyclonal
- Antigen
- Synthesized non-phosphopeptide derived from human Paxillin around the phosphorylation site of tyrosine 118
- Reactivity
- Human, Porcine
- Host
- Rabbit
- Vial size
- 50 µl
No comments: Submit comment
Supportive validation
- Submitted by
- Acris Antibodies GmbH (provider)
- Main image

- Experimental details
- Sample (30 µg of whole cell lysate). A: Hela. 12% SDS PAGE. SPI1 antibody diluted at 1:1000.
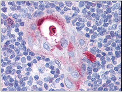
Supportive validation
- Submitted by
- Acris Antibodies GmbH (provider)
- Main image

- Experimental details
- Human Spleen: Formalin-Fixed, Paraffin-Embedded (FFPE)
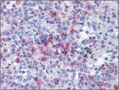
- Submitted by
- Acris Antibodies GmbH (provider)
- Main image

- Experimental details
- Human Thymus: Formalin-Fixed, Paraffin-Embedded (FFPE)