Antibody data
- Antibody Data
 - Antigen structure
 - References [0]
 - Comments [0]
 - Validations
 - Western blot [1]
 - Immunohistochemistry [1]
 
Submit
Validation data
Reference
Comment
Report error
- Product number
 - LS-C407931 - Provider product page

 - Provider
 - LSBio
 - Product name
 - LOXL1 Antibody (aa397-425) LS-C407931
 - Antibody type
 - Polyclonal
 - Description
 - Immunogen affinity purified
 - Reactivity
 - Human
 - Host
 - Rabbit
 - Storage
 - At -20°C for 1 year. After reconstitution, at 4°C for 1 month. It can also be aliquotted and stored frozen at -20°C for a longer time. Avoid freeze-thaw cycles.
 
				No comments: Submit comment	
	
			
							
					Enhanced validation
					
									
				
				- Submitted by
 - LSBio (provider)
 - Enhanced method
 - Genetic validation
 - Main image
 
- Experimental details
 - LOXL1 antibody Western blot. All lanes: Anti LOXL1 at 0.5 ug/ml. Lane 1: A549 Whole Cell Lysate at 40 ug. Lane 2: HELA Whole Cell Lysate at 40 ug. Predicted band size: 63 kD. Observed band size: 63 kD.
 
							
					Supportive validation
					
									
				
		- Submitted by
 - LSBio (provider)
 - Enhanced method
 - Genetic validation
 - Main image
 
- Experimental details
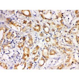
 - LOXL1 antibody IHC-paraffin. IHC(P): Human Prostatic Cancer Tissue.