Antibody data
- Antibody Data
- Antigen structure
- References [0]
- Comments [0]
- Validations
- Western blot [1]
Submit
Validation data
Reference
Comment
Report error
- Product number
- PA5-89481 - Provider product page

- Provider
- Invitrogen Antibodies
- Product name
- ZNF333 Polyclonal Antibody
- Antibody type
- Polyclonal
- Antigen
- Recombinant full-length protein
- Description
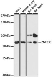
- Immunogen sequence: MESVTFEDVA VEFIQEWALL DSARRSLCKY RMLDQCRTLA SRGTPPCKPS CVSQLGQRAE PKATERGILR ATGVAWESQL KPEELPSMQD LLEEASSRDM QMGPGLFLRM QLVPSIEERE TPLTREDRPA LQEPPWSLGC TGLKAAMQIQ RVVIPVPTLG HRNPWVARDS AVPARDPAWL QEDKVEEEAM APGLPTACSQ EPVTFADVAV VFTPEEWVFL DSTQRSLYRD VMLENYRNLA SVADQLCKPN ALSYLEERGE QWTTDRGVLS DTCAEPQCQP QEAIPSQDTF TEILSIDVKG PPN; Positive Samples: HeLa, Mouse ovary, Rat brain, Rat heart; Cellular Location: Nucleus
- Reactivity
- Human, Mouse, Rat
- Host
- Rabbit
- Isotype
- IgG
- Vial size
- 100 μL
- Concentration
- 0.45 mg/mL
- Storage
- -20°C, Avoid Freeze/Thaw Cycles
No comments: Submit comment
Supportive validation
- Submitted by
- Invitrogen Antibodies (provider)
- Main image

- Experimental details
- Western blot analysis of ZNF333 in extracts of various cell lines. Samples were incubated with ZNF333 Polyclonal antibody (Product # PA5-89481) using a dilution of 1:3,000, followed by HRP Goat Anti-Rabbit IgG (H+L) at a dilution of 1:10,000. Lysates/proteins: 25 µg per lane. Blocking buffer: 3% nonfat dry milk in TBST. Detection: ECL Basic Kit. Exposure time: 90s.