Antibody data
- Antibody Data
- Antigen structure
- References [1]
- Comments [0]
- Validations
- Immunohistochemistry [1]
Submit
Validation data
Reference
Comment
Report error
- Product number
- PAB6865 - Provider product page

- Provider
- Abnova Corporation
- Proper citation
- Abnova Corporation Cat#PAB6865, RRID:AB_1575243
- Product name
- GOLGA6A/GOLGA6B polyclonal antibody
- Antibody type
- Polyclonal
- Antigen
- A synthetic peptide corresponding to internal region of human GOLGA6A/GOLGA6B.
- Reactivity
- Human
- Host
- Goat
- Antigen sequence
C-DLPKEKADGTEQ- Vial size
- 100 µg
- Concentration
- 0.5 mg/mL
- Storage
- Store at -20°C.Aliquot to avoid repeated freezing and thawing.
Submitted references Cloning and characterization of a Golgin-related gene from the large-scale polymorphism linked to the PML gene.
Gilles F, Goy A, Remache Y, Manova K, Zelenetz AD
Genomics 2000 Dec 15;70(3):364-74
Genomics 2000 Dec 15;70(3):364-74
No comments: Submit comment
Supportive validation
- Submitted by
- Abnova Corporation (provider)
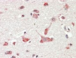
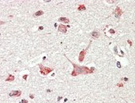
- Main image

- Experimental details
- GOLGA6A/GOLGA6B polyclonal antibody (Cat # PAB6865) (3.8 ug/mL) staining of paraffin embedded human cerebral cortex. Steamed antigen retrieval with citrate buffer pH 6, AP-staining.
- Validation comment
- Immunohistochemistry (Formalin/PFA-fixed paraffin-embedded sections)