Antibody data
- Antibody Data
- Antigen structure
- References [1]
- Comments [0]
- Validations
- Immunohistochemistry [1]
Submit
Validation data
Reference
Comment
Report error
- Product number
- ABIN250851 - Provider product page

- Provider
- antibodies-online
- Product name
- anti-Golgin A6 Family, Member A (GOLGA6A) antibody
- Antibody type
- Polyclonal
- Description
- Immunogen affinity purified
- Reactivity
- Human
- Host
- Goat
- Vial size
- 0.1 mg
- Storage
- Store at -20°C. Avoid freeze-thaw cycles.
- Handling
- Avoid freeze-thaw cycles
Submitted references Cloning and characterization of a Golgin-related gene from the large-scale polymorphism linked to the PML gene.
Gilles F, Goy A, Remache Y, Manova K, Zelenetz AD
Genomics 2000 Dec 15;70(3):364-74
Genomics 2000 Dec 15;70(3):364-74
No comments: Submit comment
Supportive validation
- Submitted by
- antibodies-online (provider)
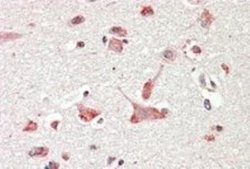
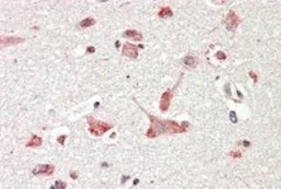
- Main image

- Experimental details
- IHC