Antibody data
- Antibody Data
- Antigen structure
- References [1]
- Comments [0]
- Validations
- Immunohistochemistry [1]
Submit
Validation data
Reference
Comment
Report error
- Product number
- NB100-2436 - Provider product page

- Provider
- Novus Biologicals
- Proper citation
- Novus Cat#NB100-2436, RRID:AB_2113050
- Product name
- Goat Polyclonal GOLGA6 Antibody
- Antibody type
- Polyclonal
- Description
- Immunogen affinity purified. GeneID 55889 may be a pseudogene, while GeneID 342096 is thought to encode a functional protein.
- Reactivity
- Human
- Host
- Goat
- Isotype
- IgG
- Vial size
- 0.1 mg
- Concentration
- 0.5 mg/ml
- Storage
- Store at -20C. Avoid freeze-thaw cycles.
Submitted references Cloning and characterization of a Golgin-related gene from the large-scale polymorphism linked to the PML gene.
Gilles F, Goy A, Remache Y, Manova K, Zelenetz AD
Genomics 2000 Dec 15;70(3):364-74
Genomics 2000 Dec 15;70(3):364-74
No comments: Submit comment
Supportive validation
- Submitted by
- Novus Biologicals (provider)
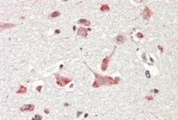
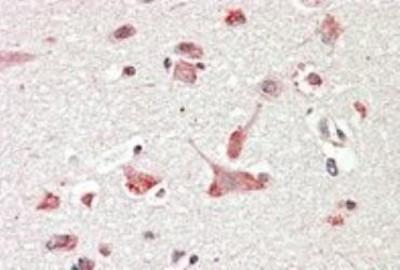
- Main image

- Experimental details
- Immunohistochemistry-Paraffin: GOLGA6 Antibody [NB100-2436] - Paraffin embedded Human Cerebral Cortex. Steamed antigen retrieval with citrate buffer pH 6, AP-staining.