Antibody data
- Antibody Data
- Antigen structure
- References [0]
- Comments [0]
- Validations
- Western blot [1]
- Immunohistochemistry [1]
- Flow cytometry [1]
Submit
Validation data
Reference
Comment
Report error
- Product number
- AM33389PU-N - Provider product page

- Provider
- Acris Antibodies GmbH
- Product name
- anti Galectin-1 (C-term)
- Antibody type
- Polyclonal (Antigen purified)
- Antigen
- Synthetic peptide near the C-terminus of the Human Galectin-1 protein.
- Reactivity
- Human, Mouse, Rat, Bovine, Porcine
- Host
- Rabbit
- Isotype
- IgG
- Antibody clone number
- SP247
- Vial size
- 1 ml
No comments: Submit comment
Supportive validation
- Submitted by
- Acris Antibodies GmbH (provider)
- Main image

- Experimental details
- Western Blot analysis of NIH3T3 cell lysate with Galectin-1 antibody Cat.-No AM33389PU (Clone SP247)
Supportive validation
- Submitted by
- Acris Antibodies GmbH (provider)
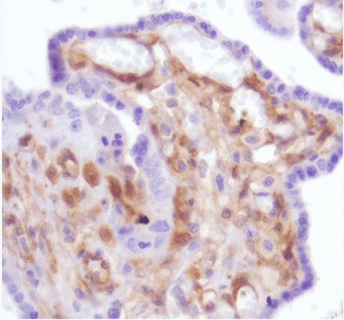
- Main image

- Experimental details
- Human placenta stained with anti-Galectin-1 antibody Cat.-No AM33389PU (Clone SP247)
Supportive validation
- Submitted by
- Acris Antibodies GmbH (provider)
- Main image

- Experimental details
- Flow Cytometric analysis of Rabbit anti-Galectin-1Â antibody Cat.-No AM33389PU (Clone SP247)Â in HL-60 cells (green) compare to negative control of Rabbit IgG (blue)