Antibody data
- Antibody Data
- Antigen structure
- References [0]
- Comments [0]
- Validations
- Western blot [1]
- Immunohistochemistry [10]
Submit
Validation data
Reference
Comment
Report error
- Product number
- Ab104554 - Provider product page

- Provider
- Aladdin Scientific
- Product name
- Galectin 1 Antibody
- Antibody type
- Polyclonal
- Description
- Rabbit anti Human Galectin 1 Antibody, Polyclonal, could be used for WB, IHC and so on.ApplicationWB: 0.01-2 µg/mLIHC: 5-20 µg/mLProtein FunctionMay regulate apoptosis, cell proliferation and cell differentiation. Binds beta-galactoside and a wide array of complex carbohydrates. Inhibits CD45 protein phosphatase activity and therefore the dephosphorylation of Lyn kinase.
- Reactivity
- Human, Mouse, Rat
- Host
- Rabbit
- Conjugate
- Unconjugated
- Antigen sequence
AA 1-135- Vial size
- 100_l,10_l,1ml,20_l,50_l
- Concentration
- Lot by Lot
- Storage
- Store at 4_ short term (1-2 weeks). Store at -20_ long term (24 months). Upon delivery aliquot. Avoid freeze/thaw cycle.
No comments: Submit comment
Supportive validation
- Submitted by
- Aladdin Scientific (provider)
- Main image

- Experimental details
- Galectin 1 Antibody (Ab104554) - Western Blot All lanes: Galectin 1 Antibody (Ab104554) at 1/1000 dilution Samples: Lysates at 20 µg per lane Secondary: Goat Anti-Rabbit IgG H&L (HRP) (Ab170144) at 1/20000 dilution Predicted band size: 15 kDa Observed band size: 15 kDa Exposure time: 2.3 s
Supportive validation
- Submitted by
- Aladdin Scientific (provider)
- Main image

- Experimental details
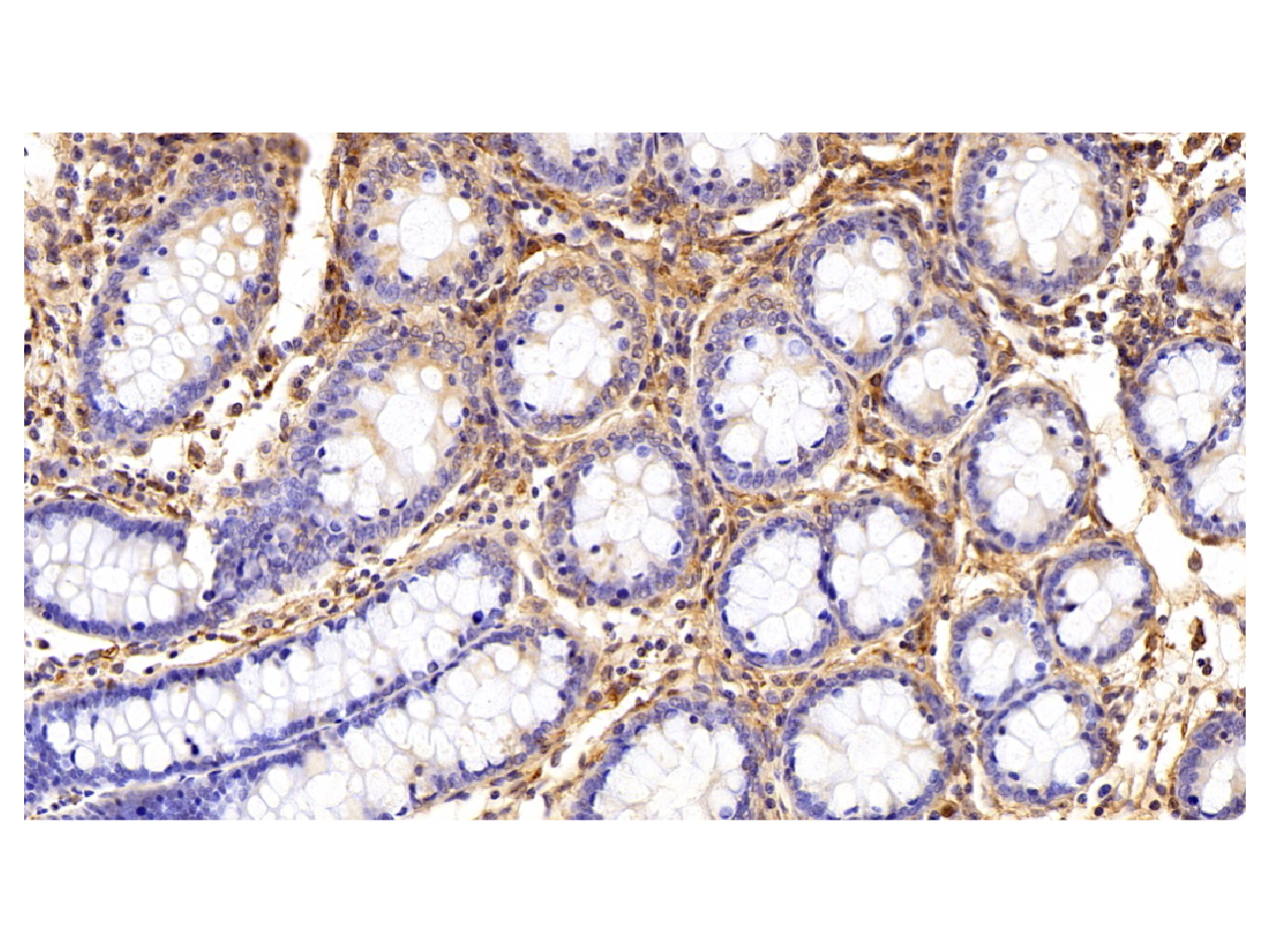
- Galectin 1 Antibody (Ab104554) - IHC DAB staining on IHC Samples: Human Rectum Tissue Primary Ab: 20 µg/mL Galectin 1 Antibody (Ab104554) Second Ab: 2 µg/mL HRP-Linked Caprine Anti-Rabbit IgG Polyclonal Antibody.
- Submitted by
- Aladdin Scientific (provider)
- Main image

- Experimental details
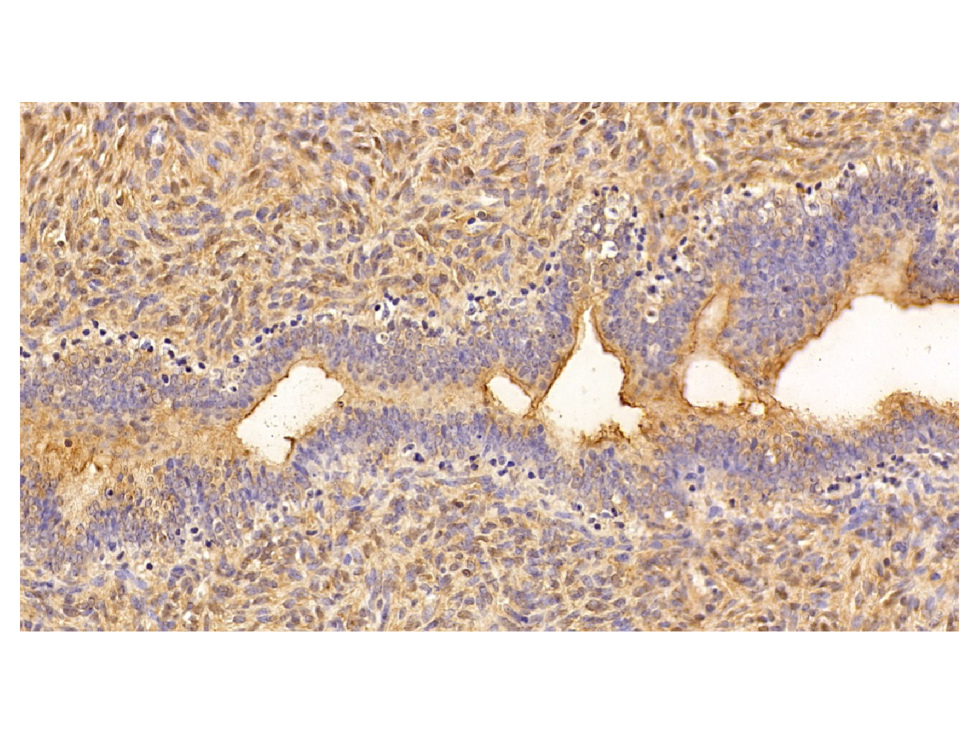
- Galectin 1 Antibody (Ab104554) - IHC DAB staining on IHC Samples: Human Renal cancer Tissue Primary Ab: 20 µg/mL Galectin 1 Antibody (Ab104554) Second Ab: 2 µg/mL HRP-Linked Caprine Anti-Rabbit IgG Polyclonal Antibody.
- Submitted by
- Aladdin Scientific (provider)
- Main image

- Experimental details
- Galectin 1 Antibody (Ab104554) - IHC DAB staining on IHC Sample: Rat Testis Tissue Primary Ab: 10 µg/mL Galectin 1 Antibody (Ab104554) Second Ab: 2 µg/mL HRP-Linked Caprine Anti-Rabbit IgG Polyclonal Antibody.
- Submitted by
- Aladdin Scientific (provider)
- Main image

- Experimental details
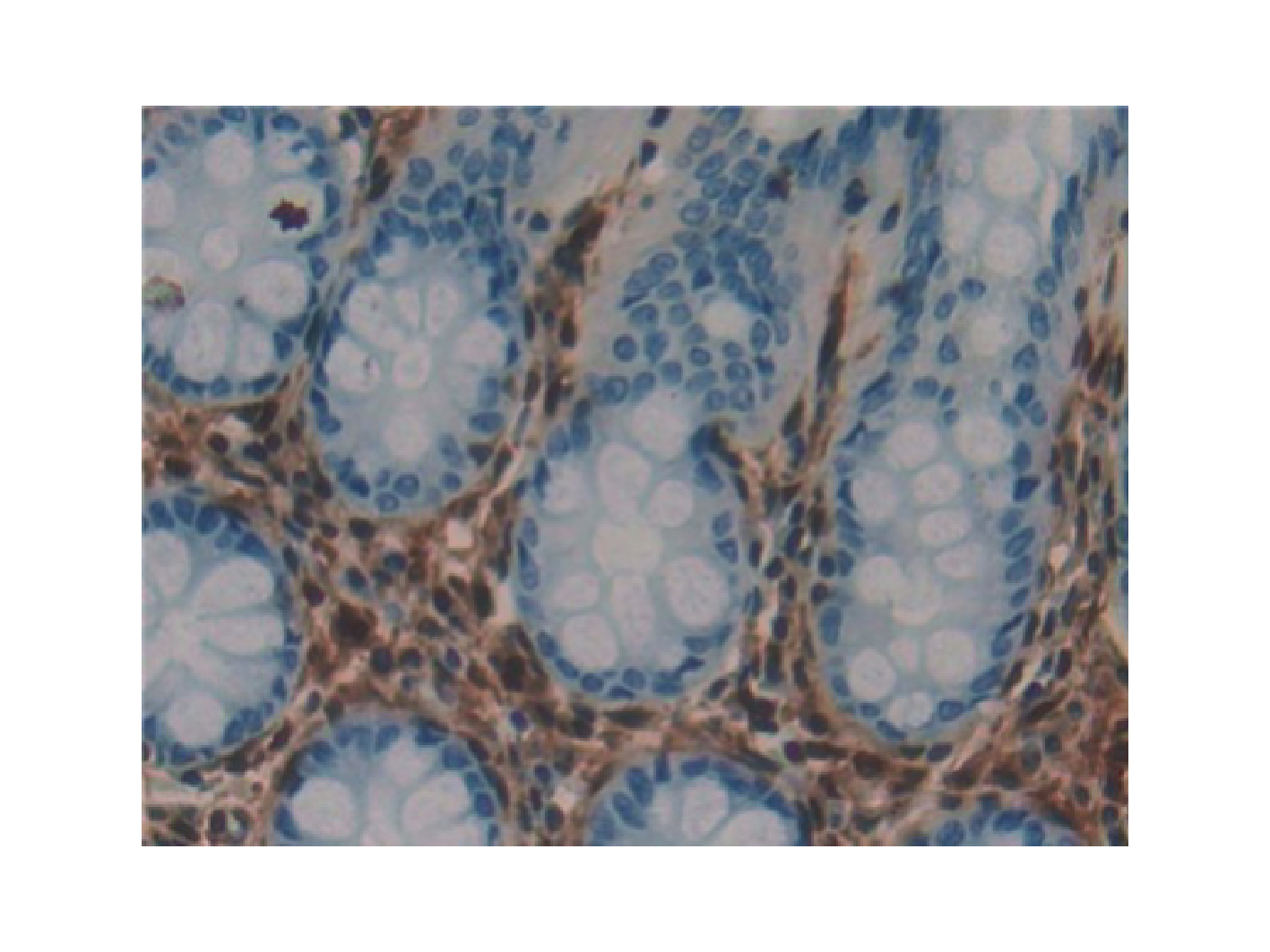
- Galectin 1 Antibody (Ab104554) - IHC DAB staining on IHC Sample: Rat Colon Tissue Primary Ab: 10 µg/mL Galectin 1 Antibody (Ab104554) Second Ab: 2 µg/mL HRP-Linked Caprine Anti-Rabbit IgG Polyclonal Antibody.
- Submitted by
- Aladdin Scientific (provider)
- Main image

- Experimental details
- Galectin 1 Antibody (Ab104554) - IHC DAB staining on IHC Sample: Rat Lung Tissue Primary Ab: 10 µg/mL Galectin 1 Antibody (Ab104554) Second Ab: 2 µg/mL HRP-Linked Caprine Anti-Rabbit IgG Polyclonal Antibody.
- Submitted by
- Aladdin Scientific (provider)
- Main image

- Experimental details
- Galectin 1 Antibody (Ab104554) - IHC DAB staining on IHC Sample: Porcine Colon Tissue Primary Ab: 20 µg/mL Galectin 1 Antibody (Ab104554) Second Ab: 2 µg/mL HRP-Linked Caprine Anti-Rabbit IgG Polyclonal Antibody.
- Submitted by
- Aladdin Scientific (provider)
- Main image

- Experimental details
- Galectin 1 Antibody (Ab104554) - IHC DAB staining on IHC Sample: Porcine Uterus Tissue Primary Ab: 20 µg/mL Galectin 1 Antibody (Ab104554) Second Ab: 2 µg/mL HRP-Linked Caprine Anti-Rabbit IgG Polyclonal Antibody.
- Submitted by
- Aladdin Scientific (provider)
- Main image

- Experimental details
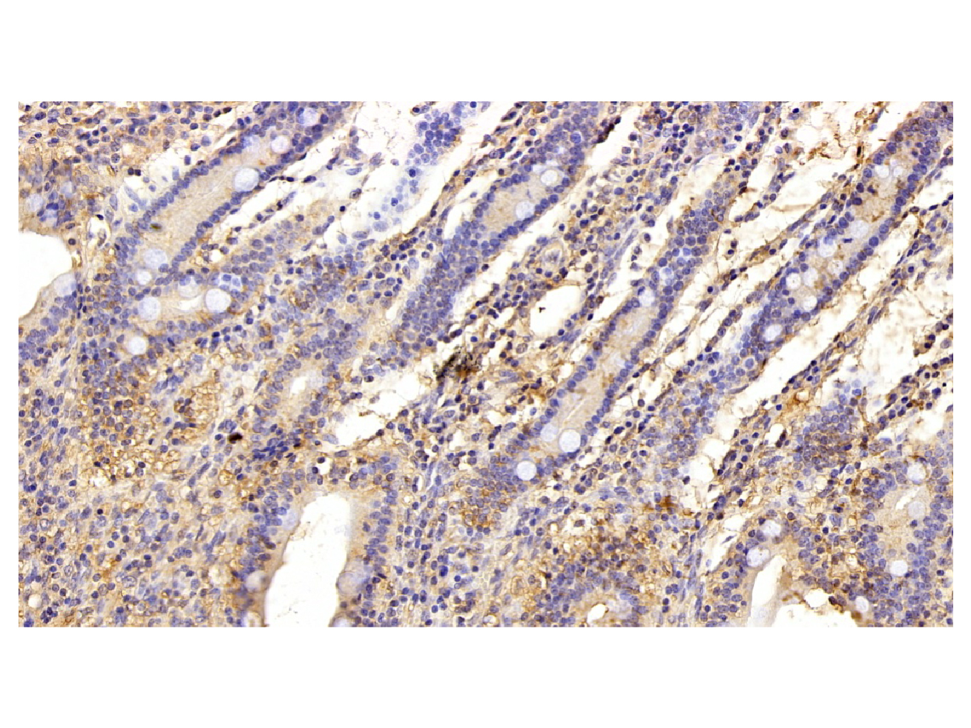
- Galectin 1 Antibody (Ab104554) - IHC DAB staining on IHC Sample: Porcine Small intestine Tissue Primary Ab: 20 µg/mL Galectin 1 Antibody (Ab104554) Second Ab: 2 µg/mL HRP-Linked Caprine Anti-Rabbit IgG Polyclonal Antibody.
- Submitted by
- Aladdin Scientific (provider)
- Main image

- Experimental details
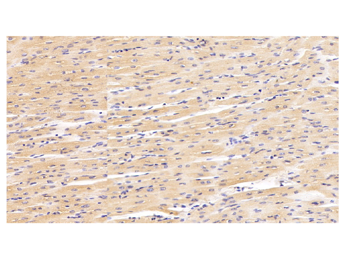
- Galectin 1 Antibody (Ab104554) - IHC DAB staining on IHC Sample: Porcine Cardiac Muscle Tissue Primary Ab: 20 µg/mL Galectin 1 Antibody (Ab104554) Second Ab: 2 µg/mL HRP-Linked Caprine Anti-Rabbit IgG Polyclonal Antibody.
- Submitted by
- Aladdin Scientific (provider)
- Main image

- Experimental details
- Galectin 1 Antibody (Ab104554) - IHC DAB staining on IHC Sample: Porcine Stomach Tissue Primary Ab: 20 µg/mL Galectin 1 Antibody (Ab104554) Second Ab: 2 µg/mL HRP-Linked Caprine Anti-Rabbit IgG Polyclonal Antibody.