NBP1-88591
antibody from Novus Biologicals
Targeting: PHF5A
bK223H9.2, INI, MGC1346, Rds3, SAP14b, SF3b14b, SF3B7
Antibody data
- Antibody Data
- Antigen structure
- References [2]
- Comments [0]
- Validations
- Western blot [1]
- Immunohistochemistry [4]
Submit
Validation data
Reference
Comment
Report error
- Product number
- NBP1-88591 - Provider product page

- Provider
- Novus Biologicals
- Proper citation
- Novus Cat#NBP1-88591, RRID:AB_11025575
- Product name
- Rabbit Polyclonal PHF5A Antibody
- Antibody type
- Polyclonal
- Description
- Immunogen affinity purified. Specificity of human PHF5A antibody verified on a Protein Array containing target protein plus 383 other non-specific proteins.
- Reactivity
- Human
- Host
- Rabbit
- Isotype
- IgG
- Vial size
- 0.1 ml
- Storage
- Store at 4C short term. Aliquot and store at -20C long term. Avoid freeze-thaw cycles.
Submitted references PHF5A Epigenetically Inhibits Apoptosis to Promote Breast Cancer Progression.
An siRNA Screen Identifies the U2 snRNP Spliceosome as a Host Restriction Factor for Recombinant Adeno-associated Viruses.
Zheng YZ, Xue MZ, Shen HJ, Li XG, Ma D, Gong Y, Liu YR, Qiao F, Xie HY, Lian B, Sun WL, Zhao HY, Yao L, Zuo WJ, Li DQ, Wang P, Hu X, Shao ZM
Cancer research 2018 Jun 15;78(12):3190-3206
Cancer research 2018 Jun 15;78(12):3190-3206
An siRNA Screen Identifies the U2 snRNP Spliceosome as a Host Restriction Factor for Recombinant Adeno-associated Viruses.
Schreiber CA, Sakuma T, Izumiya Y, Holditch SJ, Hickey RD, Bressin RK, Basu U, Koide K, Asokan A, Ikeda Y
PLoS pathogens 2015 Aug;11(8):e1005082
PLoS pathogens 2015 Aug;11(8):e1005082
No comments: Submit comment
Supportive validation
- Submitted by
- Novus Biologicals (provider)
- Main image

- Experimental details
- Western Blot: PHF5A Antibody [NBP1-88591] - Analysis in HeLa cells transfected with control siRNA, target specific siRNA probe #1 and #2, using anti-PHF5A antibody. Remaining relative intensity is presented. Loading control: anti-GAPDH.
Supportive validation
- Submitted by
- Novus Biologicals (provider)
- Main image

- Experimental details
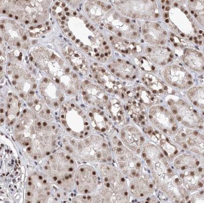
- Immunohistochemistry-Paraffin: PHF5A Antibody [NBP1-88591] - Staining of human kidney shows moderate nuclear positivity in cells in tubules.
- Submitted by
- Novus Biologicals (provider)
- Main image

- Experimental details
- Immunohistochemistry-Paraffin: PHF5A Antibody [NBP1-88591] - Staining of human cerebral cortex shows strong nuclear positivity in neurons
- Submitted by
- Novus Biologicals (provider)
- Main image

- Experimental details
- Immunohistochemistry-Paraffin: PHF5A Antibody [NBP1-88591] - Staining of human rectum shows strong nuclear positivity in glandular cells.
- Submitted by
- Novus Biologicals (provider)
- Main image

- Experimental details
- Immunohistochemistry-Paraffin: PHF5A Antibody [NBP1-88591] - Staining of human testis shows strong nuclear positivity in cells in seminiferous ducts.