Antibody data
- Antibody Data
- Antigen structure
- References [0]
- Comments [0]
- Validations
- Western blot [1]
- Immunohistochemistry [1]
Submit
Validation data
Reference
Comment
Report error
- Product number
- ABIN558515 - Provider product page

- Provider
- antibodies-online
- Product name
- anti-Ras Association (RalGDS/AF-6) Domain Family Member 4 (RASSF4) antibody
- Antibody type
- Polyclonal
- Antigen
- Other
- Description
- Aff - Purified
- Reactivity
- Human
- Host
- Rabbit
- Vial size
- 0.1 mL
No comments: Submit comment
Supportive validation
- Submitted by
- antibodies-online (provider)
- Main image

- Experimental details
- Image(s): Western Blotting
Supportive validation
- Submitted by
- antibodies-online (provider)
- Main image

- Experimental details
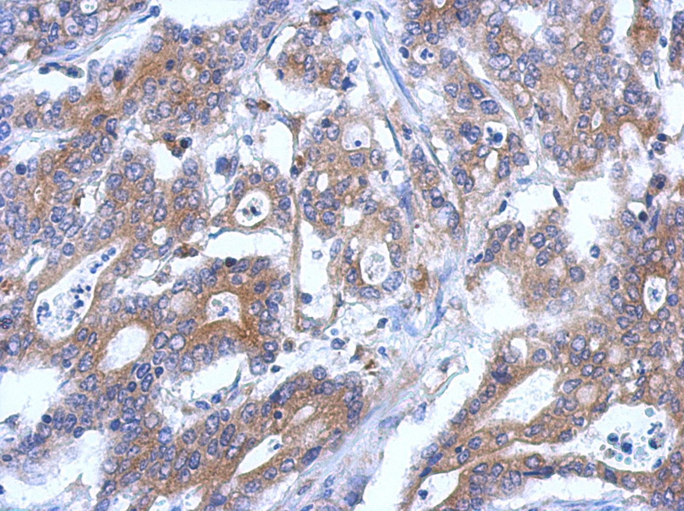
- Image(s): Immunohistochemistry