Antibody data
- Antibody Data
- Antigen structure
- References [0]
- Comments [0]
- Validations
- Western blot [1]
- Immunohistochemistry [1]
Submit
Validation data
Reference
Comment
Report error
- Product number
- GTX83331 - Provider product page

- Provider
- GeneTex
- Proper citation
- GeneTex Cat#GTX83331, RRID:AB_11163605
- Product name
- SRA antibody [7H1G1]
- Antibody type
- Monoclonal
- Reactivity
- Human
- Host
- Mouse
No comments: Submit comment
Supportive validation
- Submitted by
- GeneTex (provider)
- Main image

- Experimental details
- Western blot analysis using SRA monoclonal antiobdy against truncated SRA recombinant protein(1) and human ovary cancer tissue lysate(2).
- Validation comment
- WB
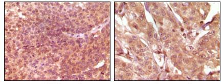
Supportive validation
- Submitted by
- GeneTex (provider)
- Main image

- Experimental details
- Immunohistochemical analysis of paraffin-embedded human bladder carcinoma(left) and breast carcinoma(right), showing nuclear and cytoplasmic localization using anti-SRA antibody with DAB staining.