Antibody data
- Antibody Data
- Antigen structure
- References [0]
- Comments [0]
- Validations
- Immunohistochemistry [1]
- Flow cytometry [1]
Submit
Validation data
Reference
Comment
Report error
- Product number
- PA5-72565 - Provider product page

- Provider
- Invitrogen Antibodies
- Product name
- Anti-UAP56 Polyclonal Antibody
- Antibody type
- Polyclonal
- Antigen
- Synthetic peptide
- Reactivity
- Human
- Host
- Rabbit
- Isotype
- IgG
- Vial size
- 400 µl
- Concentration
- 1.2 mg/ml
- Storage
- Store at 4°C short term. For long term storage, store at -20°C, avoiding freeze/thaw cycles.
No comments: Submit comment
Supportive validation
- Submitted by
- Invitrogen Antibodies (provider)
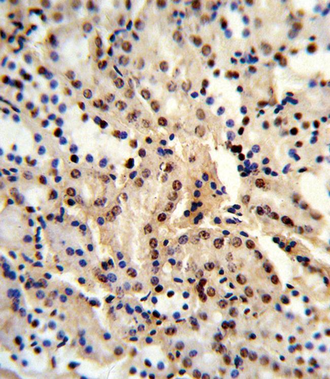
- Main image

- Experimental details
- Immunohistochemical analysis of BAT1 in paraffin-embedded human kidney tissue. Samples were incubated with BAT1 polyclonal antibody (Product # PA5-72565) followed by a peroxidase-conjugate secondary antibody and DAB staining.
Supportive validation
- Submitted by
- Invitrogen Antibodies (provider)
- Main image

- Experimental details
- Flow cytometry analysis of BAT1 in K562 cells (bottom histogram) compared to a negative control cell (top histogram). Samples were incubated with BAT1 polyclonal antibody (Product # PA5-72565) followed by a FITC conjugated goat anti-rabbit secondary antibody.