Antibody data
- Antibody Data
- Antigen structure
- References [0]
- Comments [0]
- Validations
- Western blot [2]
- Immunohistochemistry [9]
- Flow cytometry [1]
Submit
Validation data
Reference
Comment
Report error
- Product number
- NBP2-46126 - Provider product page

- Provider
- Novus Biologicals
- Product name
- Mouse monoclonal NDUFB9 Antibody
- Antibody type
- Monoclonal
- Description
- Affinity purified.
- Reactivity
- Human, Simian
- Host
- Mouse
- Isotype
- IgG
- Vial size
- 0.1 ml
- Concentration
- 1 mg/ml
- Storage
- Store at -20C. Avoid freeze-thaw cycles.
No comments: Submit comment
Supportive validation
- Submitted by
- Novus Biologicals (provider)
- Main image

- Experimental details
- Western Blot: NDUFB9 Antibody (13H11) [NBP2-46126] - Analysis of HEK293T cells were transfected with the pCMV6-ENTRY control (Left lane) or pCMV6-ENTRY NDUFB9.
- Submitted by
- Novus Biologicals (provider)
- Main image

- Experimental details
- Western Blot: NDUFB9 Antibody (13H11) [NBP2-46126] - Analysis of extracts (10ug) from 6 different cell lines by using NDUFB9 monoclonal antibody.
Supportive validation
- Submitted by
- Novus Biologicals (provider)
- Main image

- Experimental details
- Immunohistochemistry: NDUFB9 Antibody (13H11) [NBP2-46126] - Analysis of Adenocarcinoma of Human colon tissue. (Heat-induced epitope retrieval by 10mM citric buffer, pH6.0, 120C for 3min)
- Submitted by
- Novus Biologicals (provider)
- Main image

- Experimental details
- Immunohistochemistry: NDUFB9 Antibody (13H11) [NBP2-46126] - Analysis of Carcinoma of Human prostate tissue. (Heat-induced epitope retrieval by 10mM citric buffer, pH6.0, 120C for 3min)
- Submitted by
- Novus Biologicals (provider)
- Main image

- Experimental details
- Immunohistochemistry: NDUFB9 Antibody (13H11) [NBP2-46126] - Analysis of Carcinoma of Human liver tissue. (Heat-induced epitope retrieval by 10mM citric buffer, pH6.0, 120C for 3min)
- Submitted by
- Novus Biologicals (provider)
- Main image

- Experimental details
- Immunohistochemistry: NDUFB9 Antibody (13H11) [NBP2-46126] - Analysis of Carcinoma of Human lung tissue.(Heat-induced epitope retrieval by 10mM citric buffer, pH6.0, 120C for 3min)
- Submitted by
- Novus Biologicals (provider)
- Main image

- Experimental details
- Immunohistochemistry: NDUFB9 Antibody (13H11) [NBP2-46126] - Analysis of Human pancreas tissue. (Heat-induced epitope retrieval by 10mM citric buffer, pH6.0, 120C for 3min)
- Submitted by
- Novus Biologicals (provider)
- Main image

- Experimental details
- Immunohistochemistry: NDUFB9 Antibody (13H11) [NBP2-46126] - Analysis of Human tonsil tissue. (Heat-induced epitope retrieval by 10mM citric buffer, pH6.0, 120C for 3min)
- Submitted by
- Novus Biologicals (provider)
- Main image

- Experimental details
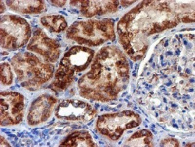
- Immunohistochemistry: NDUFB9 Antibody (13H11) [NBP2-46126] - Analysis of Human Kidney tissue. (Heat-induced epitope retrieval by 10mM citric buffer, pH6.0, 120C for 3min)
- Submitted by
- Novus Biologicals (provider)
- Main image

- Experimental details
- Immunohistochemistry: NDUFB9 Antibody (13H11) [NBP2-46126] - Analysis of Human liver tissue. (Heat-induced epitope retrieval by 10mM citric buffer, pH6.0, 120C for 3min)
- Submitted by
- Novus Biologicals (provider)
- Main image

- Experimental details
- Immunohistochemistry: NDUFB9 Antibody (13H11) [NBP2-46126] - Analysis of Adenocarcinoma of Human endometrium tissue. (Heat-induced epitope retrieval by 10mM citric buffer, pH6.0, 120C for 3min)
Supportive validation
- Submitted by
- Novus Biologicals (provider)
- Main image

- Experimental details
- Flow Cytometry: NDUFB9 Antibody (13H11) [NBP2-46126] - Analysis of Hela cells, using NDUFB9 antibody (Red), compared to a nonspecific negative control antibody (Blue).