Antibody data
- Antibody Data
- Antigen structure
- References [0]
- Comments [0]
- Validations
- Western blot [1]
- Immunocytochemistry [1]
- Immunohistochemistry [1]
Submit
Validation data
Reference
Comment
Report error
- Product number
- 21306 - Provider product page

- Provider
- Signalway Antibody LLC
- Product name
- Keratin 18(Ab-33) Antibody
- Antibody type
- Polyclonal
- Antigen
- The antibody detects endogenous level of total Keratin 18 protein.
- Host
- Rabbit
- Conjugate
- Unconjugated
- Vial size
- 50µl
No comments: Submit comment
Supportive validation
- Submitted by
- Signalway Antibody LLC (provider)
- Main image

- Experimental details
- Western blot analysis of extracts from 293 cells using Keratin 18(Ab-33) Antibody #21306.
Supportive validation
- Submitted by
- Signalway Antibody LLC (provider)
- Main image

- Experimental details
- Confocal immunofluorescence analysis (Olympus FV10i) of methanol-fixed HeLa, using TRADD antibody (Green) at 1: 500 dilution and alpha-tubulin antibody (Red) at 1: 2000.
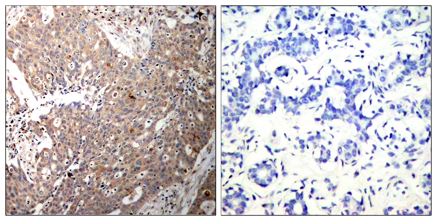
Supportive validation
- Submitted by
- Signalway Antibody LLC (provider)
- Main image

- Experimental details
- Immunohistochemical analysis of paraffin-embedded human breast carcinoma tissue using Keratin 18(Ab-33) Antibody #21306(left) or the same antibody preincubated with blocking peptide(right).