Antibody data
- Antibody Data
- Antigen structure
- References [105]
- Comments [0]
- Validations
- Western blot [1]
- Immunocytochemistry [1]
- Immunoprecipitation [1]
- Immunohistochemistry [4]
- Flow cytometry [1]
Submit
Validation data
Reference
Comment
Report error
- Product number
- 10830-1-AP - Provider product page

- Provider
- Proteintech Group
- Proper citation
- Proteintech Cat#10830-1-AP, RRID:AB_2133164
- Product name
- Cytokeratin 18 antibody
- Antibody type
- Polyclonal
- Description
- Cytokeratin 18 antibody (Cat. #10830-1-AP) is a rabbit polyclonal antibody that shows reactivity with human, mouse and has been validated for the following applications: FC, IF, IHC, IP, WB,ELISA.
- Reactivity
- Human, Mouse
- Host
- Rabbit
- Conjugate
- Unconjugated
- Isotype
- IgG
- Vial size
- 20ul, 150ul
Submitted references Cholinergic Anti-inflammatory Pathway Attenuates Acute Liver Failure Through Inhibiting MAdCAM1/α4β7-mediated Gut-derived Proinflammatory Lymphocytes Accumulation.
Inhibition of STAT3 by S3I-201 suppress peritoneal fibroblast phenotype conversion and alleviate peritoneal fibrosis.
ALIX and TSG101 are essential for cellular entry and replication of two porcine alphacoronaviruses.
GITR exacerbates lysophosphatidylcholine-induced macrophage pyroptosis in sepsis via posttranslational regulation of NLRP3.
Innate immune response of bovine mammary epithelial cells in Mycoplasma bovis mastitis using an in vitro model of bovine mammary gland infection.
Valine promotes milk synthesis by regulating PKM2 nuclear accumulation and histone H3 acetylation through the TAS1R1-mTOR-DDX39B signaling pathway.
The miR-34b/MEK/ERK pathway is regulated by NR5A1 and promotes differentiation in primary bovine Sertoli cells.
Molecular mechanism underlying miR-204-5p regulation of adipose-derived stem cells differentiation into cells from three germ layers.
Protein Dynamic Landscape during Mouse Mammary Gland Development from Virgin to Pregnant, Lactating, and Involuting Stages.
Hydrogen sulfide inhibits the rupture of fetal membranes throngh anti-aging pathways.
Nuciferine protects against lipopolysaccharide-induced endometritis via inhibiting ferroptosis and modulating AMPKα/mTOR/HIF-1α signaling axis.
Intraretinal pigmented cells in retinal degenerative disease.
Mesenchymal stem cell exosomes as nanotherapeutics for dry age-related macular degeneration.
Developmental Changes of Duckling Liver and Isolation of Primary Hepatocytes.
HEY1-NCOA2 expression modulates chondrogenic differentiation and induces mesenchymal chondrosarcoma in mice.
Evaluation of different rat models intrauterine adhesion models and improvement of the technique for their establishment.
Dual role of ANGPTL8 in promoting tumor cell proliferation and immune escape during hepatocarcinogenesis.
Polydopamine-cladded montmorillonite micro-sheets as therapeutic platform repair the gut mucosal barrier of murine colitis through inhibiting oxidative stress.
RNA-seq reveals the role of miR-223 in alleviating inflammation of bovine mammary epithelial cells.
Construction and Characterization of Immortalized Fibroblast Cell Line from Bactrian Camel.
In situ gel-forming oil as rectally delivering platform of hydrophobic therapeutics for ulcerative colitis therapy.
Human prostate organoid generation and the identification of prostate development drivers using inductive rodent tissues.
Sirtuin 3 relieves inflammatory responses elicited by lipopolysaccharide via the PGC1α-NFκB pathway in bovine mammary epithelial cells.
The effect of semen cuscutae flavonoid on Sertoli cells and blood-testis barrier in male infertility: integrating network pharmacology and experimental verification.
Single-cell transcriptomic characterization of sheep conceptus elongation and implantation.
Resveratrol inhibits LPS-induced apoptosis in bovine mammary epithelial cells: the role of PGC1α-SIRT3 axis.
Inhibition of calpain9 attenuates peritoneal dialysis-related peritoneal fibrosis.
Mammary Fibrosis Tendency and Mitochondrial Adaptability in Dairy Cows with Mastitis.
Amniotic membrane extract-enriched hydrogel augments the therapeutic effect of menstrual blood-derived stromal cells in a rat model of intrauterine adhesion.
Neutrophil Extracellular Traps Mediate Bovine Endometrial Epithelial Cell Pyroptosis in Dairy Cows with Endometritis.
Fat-associated lymphoid clusters as expandable niches for ectopic liver development.
Development of an Improved Method for the Isolation and Culture of Newborn Sheep Primary Hepatocytes.
A KPV-binding double-network hydrogel restores gut mucosal barrier in an inflamed colon.
6-Phosphogluconolactonase Promotes Hepatocellular Carcinogenesis by Activating Pentose Phosphate Pathway.
Lycium barbarum Polysaccharide Ameliorates Heat-Stress-Induced Impairment of Primary Sertoli Cells and the Blood-Testis Barrier in Rat via Androgen Receptor and Akt Phosphorylation.
LR12 Promotes Liver Repair by Improving the Resolution of Inflammation and Liver Regeneration in Mice with Thioacetamide- (TAA-) Induced Acute Liver Failure.
Establishment of a Hyperacute Rejection Model of ABO-Incompatible Renal Transplantation in Nonhuman Primates.
The Unique Genetic and Histological Characteristics of DMBA-Induced Mammary Tumors in an Organoid-Based Carcinogenesis Model.
Spatio-Temporal Multiscale Analysis of Western Diet-Fed Mice Reveals a Translationally Relevant Sequence of Events during NAFLD Progression.
Different properties of mammary carcinogenesis induced by two chemical carcinogens, DMBA and PhIP, in heterozygous BALB/c Trp53 knockout mice.
AnnexinA7 promotes epithelial-mesenchymal transition by interacting with Sorcin and contributes to aggressiveness in hepatocellular carcinoma.
Mycoplasma bovis subverts autophagy to promote intracellular replication in bovine mammary epithelial cells cultured in vitro.
NLRP3 inflammasome of renal tubular epithelial cells induces kidney injury in acute hemolytic transfusion reactions.
In Silico, In Vitro, and In Vivo Analysis Identifies Endometrial Circadian Clock Genes in Recurrent Implantation Failure.
Human umbilical cord-derived mesenchymal stem cells improve the function of liver in rats with acute-on-chronic liver failure via downregulating Notch and Stat1/Stat3 signaling.
LRH-A3 and HCG increase pregnancy rate during timed artificial insemination in dairy cows.
KLF4 transactivates TRIM29 expression and modulates keratin network.
Sodium propionate protect the blood-milk barrier integrity, relieve lipopolysaccharide-induced inflammatory injury and cells apoptosis.
Quercetin Inhibits Adenomyosis by Attenuating Cell Proliferation, Migration and Invasion of Ectopic Endometrial Stromal Cells.
All-trans-retinoic acid inhibits the malignant behaviors of hepatocarcinoma cells by regulating autophagy.
Arctigenin Suppressed Epithelial-Mesenchymal Transition Through Wnt3a/β-Catenin Pathway in PQ-Induced Pulmonary Fibrosis.
Cholesterol-rich lipid rafts both in cellular and viral membrane are critical for caprine parainfluenza virus type3 entry and infection in host cells.
Cyclophilin A plays an important role in embryo implantation through activating Stat3.
hUMSCs regulate the differentiation of ovarian stromal cells via TGF-β(1)/Smad3 signaling pathway to inhibit ovarian fibrosis to repair ovarian function in POI rats.
Ex Vivo Cell Therapy by Ectopic Hepatocyte Transplantation Treats the Porcine Tyrosinemia Model of Acute Liver Failure.
TMT-based quantitative proteomic analysis of porcine muscle associated with postmortem meat quality.
Bta-miR-34b inhibits proliferation and promotes apoptosis via the MEK/ERK pathway by targeting MAP2K1 in bovine primary Sertoli cells.
3, 3', 5-Triiodo-L-thyronine affects polarity proteins of bovine Sertoli cells via WT1/non-canonical Wnt signaling pathway.
PLAG1 enhances the stemness profiles of acinar cells in normal human salivary glands in a cell type-specific manner.
Hesperidin ameliorates liver ischemia/reperfusion injury via activation of the Akt pathway.
Proteomic Analysis Reveals Proteins and Pathways Associated with Lactation in Bovine Mammary Epithelial Cell-Derived Exosomes.
Long-term Production of Glycogen and Hepatic-Derived, Cell-Invasion-Promoting Chemokines by Ultrasound-Driven Hepatic-Differentiated Human Bone Marrow Mesenchymal Stem Cells.
GRP78 regulates milk biosynthesis and the proliferation of bovinemammaryepithelial cells through the mTOR signaling pathway.
Cytoplasmic SIRT1 inhibits cell migration and invasion by impeding epithelial-mesenchymal transition in ovarian carcinoma.
Isolation, culture, and identification of duck intestinal epithelial cells and oxidative stress model constructed.
ATRA induces the differentiation of hepatic progenitor cells by upregulating microRNA-200a.
Atrial natriuretic peptide inhibits epithelial-mesenchymal transition (EMT) of bronchial epithelial cells through cGMP/PKG signaling by targeting Smad3 in a murine model of allergic asthma.
Influence of Wilms' tumor suppressor gene WT1 on bovine Sertoli cells polarity and tight junctions via non-canonical WNT signaling pathway.
Induction of Sertoli-like cells from human fibroblasts by NR5A1 and GATA4.
Downregulation of cytokeratin 18 enhances BCRP-mediated multidrug resistance through induction of epithelial-mesenchymal transition and predicts poor prognosis in breast cancer.
The phosphorylation of Tudor-SN mediated by JNK is involved in the regulation of milk protein synthesis induced by prolactin in BMECs.
Cysteine Dioxygenase Regulates the Epithelial Morphogenesis of Mammary Gland via Cysteine Sulfinic Acid.
Thyroid hormone (T(3)) is involved in inhibiting the proliferation of newborn calf Sertoli cells via the PI3K/Akt signaling pathway in vitro.
Cytokeratin expression in epidermal stem cells in skin adnexal tumors.
Wnt5a induces and maintains prostate cancer cells dormancy in bone.
Ultrasound Irradiation Combined with Hepatocyte Growth Factor Accelerate the Hepatic Differentiation of Human Bone Marrow Mesenchymal Stem Cells.
Hypothermic oxygenated perfusion (HOPE) attenuates ischemia/reperfusion injury in the liver through inhibition of the TXNIP/NLRP3 inflammasome pathway in a rat model of donation after cardiac death.
[Tumor necrosis factor-α and transforming growth factor-β(1) balance liver stem cell differentiation in cholestatic cirrhosis].
Yi Guan Jian decoction may enhance hepatic differentiation of bone marrow‑derived mesenchymal stem cells via SDF‑1 in vitro.
Twinfilin 1 enhances milk bio-synthesis and proliferation of bovine mammary epithelial cells via the mTOR signaling pathway.
Label-free proteomic analysis of placental proteins during Toxoplasma gondii infection.
Injury Induces Endogenous Reprogramming and Dedifferentiation of Neuronal Progenitors to Multipotency.
Global histone modification profiling reveals the epigenomic dynamics during malignant transformation in a four-stage breast cancer model.
Ex Vivo Stromal Cell-Derived Factor 1-Mediated Differentiation of Mouse Bone Marrow Mesenchymal Stem Cells into Hepatocytes Is Enhanced by Chinese Medicine Yiguanjian Drug-Containing Serum.
EB-virus latent membrane protein 1 potentiates the stemness of nasopharyngeal carcinoma via preferential activation of PI3K/AKT pathway by a positive feedback loop.
HOXA13 exerts a beneficial effect in albumin-induced epithelial-mesenchymal transition via the glucocorticoid receptor signaling pathway in human renal tubular epithelial cells.
Conditional ablation of TGF-β signaling inhibits tumor progression and invasion in an induced mouse bladder cancer model.
Carbon monoxide inhibits the nuclear-cytoplasmic translocation of HMGB1 in an in vitro oxidative stress injury model of mouse renal tubular epithelial cells.
Podoplanin promotes the invasion of oral squamous cell carcinoma in coordination with MT1-MMP and Rho GTPases.
Restraint stress delays endometrial adaptive remodeling during mouse embryo implantation.
Carbon monoxide potently prevents ischemia-induced high-mobility group box 1 translocation and release and protects against lethal renal ischemia-reperfusion injury.
Revival, characterization, and hepatitis B virus infection of cryopreserved human fetal hepatocytes.
Protective effects of dioscin against alcohol-induced liver injury.
Long-term maintenance of human fetal hepatocytes and prolonged susceptibility to HBV infection by co-culture with non-parenchymal cells.
Increased expression levels of E-cadherin, cytokeratin 18 and 19 observed in preeclampsia were not correlated with disease severity.
Dentin matrix proteins (DMPs) enhance differentiation of BMMSCs via ERK and P38 MAPK pathways.
5-Aza-dC treatment induces mesenchymal-to-epithelial transition in 1st trimester trophoblast cell line HTR8/SVneo.
Protective effects of the total saponins from Rosa laevigata Michx fruit against carbon tetrachloride-induced acute liver injury in mice.
Dioscin, a natural steroid saponin, shows remarkable protective effect against acetaminophen-induced liver damage in vitro and in vivo.
Cx31.1 acts as a tumour suppressor in non-small cell lung cancer (NSCLC) cell lines through inhibition of cell proliferation and metastasis.
PPARγ isoforms differentially regulate metabolic networks to mediate mouse prostatic epithelial differentiation.
Basal epithelial stem cells are efficient targets for prostate cancer initiation.
PCDH24-induced contact inhibition involves downregulation of beta-catenin signaling.
Characterization of sensory deficits in TrkB knockout mice.
Role of estrogen receptor beta in uterine stroma and epithelium: Insights from estrogen receptor beta-/- mice.
Fu S, Ni T, Zhang M, Ren D, Feng Y, Yao N, Zhang X, Wang R, Xu W, Yang N, Yang Y, He Y, Zhao Y, Liu J
Cellular and molecular gastroenterology and hepatology 2024;17(2):199-217
Cellular and molecular gastroenterology and hepatology 2024;17(2):199-217
Inhibition of STAT3 by S3I-201 suppress peritoneal fibroblast phenotype conversion and alleviate peritoneal fibrosis.
Song Q, Li H, Yan H, Yu Z, Li Z, Yuan J, Jiang N, Ni Z, Gu L, Fang W
Journal of cellular and molecular medicine 2024 May;28(10):e18381
Journal of cellular and molecular medicine 2024 May;28(10):e18381
ALIX and TSG101 are essential for cellular entry and replication of two porcine alphacoronaviruses.
Chen X, Liang Y, Weng Z, Hu C, Peng Y, Sun Y, Gao Q, Huang Z, Tang S, Gong L, Zhang G
PLoS pathogens 2024 Mar;20(3):e1012103
PLoS pathogens 2024 Mar;20(3):e1012103
GITR exacerbates lysophosphatidylcholine-induced macrophage pyroptosis in sepsis via posttranslational regulation of NLRP3.
Liang S, Zhou J, Cao C, Liu Y, Ming S, Liu X, Shang Y, Lao J, Peng Q, Yang J, Wu M
Cellular & molecular immunology 2024 Jul;21(7):674-688
Cellular & molecular immunology 2024 Jul;21(7):674-688
Innate immune response of bovine mammary epithelial cells in Mycoplasma bovis mastitis using an in vitro model of bovine mammary gland infection.
Imaizumi N, Gondaira S, Kamioka M, Sugiura T, Eguchi A, Nishi K, Fujiki J, Iwano H, Higuchi H
The Journal of veterinary medical science 2024 Jul 2;86(7):712-720
The Journal of veterinary medical science 2024 Jul 2;86(7):712-720
Valine promotes milk synthesis by regulating PKM2 nuclear accumulation and histone H3 acetylation through the TAS1R1-mTOR-DDX39B signaling pathway.
Cao Y, Hu G, Long X, Li F, Wang J, Sun M, Xie Y, Ge Y, Guo W, Liu J, Fu S
International journal of biological macromolecules 2024 Jan;254(Pt 3):127786
International journal of biological macromolecules 2024 Jan;254(Pt 3):127786
The miR-34b/MEK/ERK pathway is regulated by NR5A1 and promotes differentiation in primary bovine Sertoli cells.
Tao Q, Zhang L, Zhang Y, Liu M, Wang J, Zhang Q, Wu J, Wang A, Jin Y, Tang K
Theriogenology 2024 Feb;215:224-233
Theriogenology 2024 Feb;215:224-233
Molecular mechanism underlying miR-204-5p regulation of adipose-derived stem cells differentiation into cells from three germ layers.
Wang Z, Bi M, Zhe X, Wang X, Dai B, Han X, Ren B, Liang H, Liu D
Cell death discovery 2024 Feb 22;10(1):95
Cell death discovery 2024 Feb 22;10(1):95
Protein Dynamic Landscape during Mouse Mammary Gland Development from Virgin to Pregnant, Lactating, and Involuting Stages.
Wang W, Wang S, Wang H, Zheng E, Wu Z, Li Z
Journal of agricultural and food chemistry 2024 Apr 3;72(13):7546-7557
Journal of agricultural and food chemistry 2024 Apr 3;72(13):7546-7557
Hydrogen sulfide inhibits the rupture of fetal membranes throngh anti-aging pathways.
Wang J, Xu J, Chao B, Liu H, Xie L, Qi H, Luo X
Placenta 2023 Nov;143:22-33
Placenta 2023 Nov;143:22-33
Nuciferine protects against lipopolysaccharide-induced endometritis via inhibiting ferroptosis and modulating AMPKα/mTOR/HIF-1α signaling axis.
Jiang P, Zhao L, Hu R, Zhai Z, Guo J, Zhang K
International immunopharmacology 2023 Nov;124(Pt B):110914
International immunopharmacology 2023 Nov;124(Pt B):110914
Intraretinal pigmented cells in retinal degenerative disease.
Yasvoina M, Yang Q, Woods SM, Heeren T, Comer GM, A Egan C, Fruttiger M
The British journal of ophthalmology 2023 Nov;107(11):1736-1743
The British journal of ophthalmology 2023 Nov;107(11):1736-1743
Mesenchymal stem cell exosomes as nanotherapeutics for dry age-related macular degeneration.
Tang Y, Kang Y, Zhang X, Cheng C
Journal of controlled release : official journal of the Controlled Release Society 2023 May;357:356-370
Journal of controlled release : official journal of the Controlled Release Society 2023 May;357:356-370
Developmental Changes of Duckling Liver and Isolation of Primary Hepatocytes.
Bao Q, Wang L, Hu X, Yuan C, Zhang Y, Chang G, Chen G
Animals : an open access journal from MDPI 2023 May 31;13(11)
Animals : an open access journal from MDPI 2023 May 31;13(11)
HEY1-NCOA2 expression modulates chondrogenic differentiation and induces mesenchymal chondrosarcoma in mice.
Tanaka M, Homme M, Teramura Y, Kumegawa K, Yamazaki Y, Yamashita K, Osato M, Maruyama R, Nakamura T
JCI insight 2023 May 22;8(10)
JCI insight 2023 May 22;8(10)
Evaluation of different rat models intrauterine adhesion models and improvement of the technique for their establishment.
Xi J, Pan Y, Jin C, Liu J, Cheng J, Xu B
Experimental animals 2023 May 17;72(2):274-284
Experimental animals 2023 May 17;72(2):274-284
Dual role of ANGPTL8 in promoting tumor cell proliferation and immune escape during hepatocarcinogenesis.
Gao Y, Yuan Y, Wen S, Chen Y, Zhang Z, Feng Y, Jiang B, Ma S, Hu R, Fang C, Ruan X, Yuan Y, Fang X, Luo C, Meng Z, Wang X, Guo X
Oncogenesis 2023 May 15;12(1):26
Oncogenesis 2023 May 15;12(1):26
Polydopamine-cladded montmorillonite micro-sheets as therapeutic platform repair the gut mucosal barrier of murine colitis through inhibiting oxidative stress.
Lin G, Yu F, Li D, Chen Y, Zhang M, Lu K, Wang N, Hu S, Zhao Y, Xu H
Materials today. Bio 2023 Jun;20:100654
Materials today. Bio 2023 Jun;20:100654
RNA-seq reveals the role of miR-223 in alleviating inflammation of bovine mammary epithelial cells.
Li YX, Jiao P, Wang XP, Wang JP, Feng F, Bao BW, Dong YW, Luoreng ZM, Wei DW
Research in veterinary science 2023 Jun;159:257-266
Research in veterinary science 2023 Jun;159:257-266
Construction and Characterization of Immortalized Fibroblast Cell Line from Bactrian Camel.
Yan M, Yong F, Ji W, Zhang L, Zhao S, Gao Y
Life (Basel, Switzerland) 2023 Jun 7;13(6)
Life (Basel, Switzerland) 2023 Jun 7;13(6)
In situ gel-forming oil as rectally delivering platform of hydrophobic therapeutics for ulcerative colitis therapy.
Zhao Y, Xu J, Shangguan J, Pan H, Lu K, Hu S, Xu H
International journal of pharmaceutics 2023 Jul 25;642:123149
International journal of pharmaceutics 2023 Jul 25;642:123149
Human prostate organoid generation and the identification of prostate development drivers using inductive rodent tissues.
Singh P, Lanman NA, Kendall HLR, Wilson L, Long R, Franco OE, Buskin A, Miles CG, Hayward SW, Heer R, Robson CN
Development (Cambridge, England) 2023 Jul 1;150(13)
Development (Cambridge, England) 2023 Jul 1;150(13)
Sirtuin 3 relieves inflammatory responses elicited by lipopolysaccharide via the PGC1α-NFκB pathway in bovine mammary epithelial cells.
Liu L, Wang B, Yang W, Jiang Q, Loor JJ, Ouyang L, Tang H, Chang R, Peng T, Xu C
Journal of dairy science 2023 Feb;106(2):1315-1329
Journal of dairy science 2023 Feb;106(2):1315-1329
The effect of semen cuscutae flavonoid on Sertoli cells and blood-testis barrier in male infertility: integrating network pharmacology and experimental verification.
Liu CX, Hu SQ, Liu DL, Xu YH, Hu K, Guo J
Pharmaceutical biology 2023 Dec;61(1):986-999
Pharmaceutical biology 2023 Dec;61(1):986-999
Single-cell transcriptomic characterization of sheep conceptus elongation and implantation.
Jia GX, Ma WJ, Wu ZB, Li S, Zhang XQ, He Z, Wu SX, Tao HP, Fang Y, Song YW, Xu SR, Wang XQ, Yang QE
Cell reports 2023 Aug 29;42(8):112860
Cell reports 2023 Aug 29;42(8):112860
Resveratrol inhibits LPS-induced apoptosis in bovine mammary epithelial cells: the role of PGC1α-SIRT3 axis.
Ouyang L, Tang H, Liu Z, Tian Y, Gao X, Peng T, Wang Z, Lan X, Shen W, Xiao D, Wan F, Liu L
In vitro cellular & developmental biology. Animal 2023 Apr;59(4):264-276
In vitro cellular & developmental biology. Animal 2023 Apr;59(4):264-276
Inhibition of calpain9 attenuates peritoneal dialysis-related peritoneal fibrosis.
Li F, Wang Y, Tian J, Zhou Z, Yin W, Qin X, Wang H, Zeng T, Li A, Jiang J
Frontiers in pharmacology 2022;13:962770
Frontiers in pharmacology 2022;13:962770
Mammary Fibrosis Tendency and Mitochondrial Adaptability in Dairy Cows with Mastitis.
Kan X, Hu G, Liu Y, Xu P, Huang Y, Cai X, Guo W, Fu S, Liu J
Metabolites 2022 Oct 28;12(11)
Metabolites 2022 Oct 28;12(11)
Amniotic membrane extract-enriched hydrogel augments the therapeutic effect of menstrual blood-derived stromal cells in a rat model of intrauterine adhesion.
Hao X, Zhang S, Li P, Huang J, Yuan Z, Tan J
Biomaterials advances 2022 Nov;142:213165
Biomaterials advances 2022 Nov;142:213165
Neutrophil Extracellular Traps Mediate Bovine Endometrial Epithelial Cell Pyroptosis in Dairy Cows with Endometritis.
Shen W, Ma X, Shao D, Wu X, Wang S, Zheng J, Lv Y, Ding X, Ma B, Yan Z
International journal of molecular sciences 2022 Nov 13;23(22)
International journal of molecular sciences 2022 Nov 13;23(22)
Fat-associated lymphoid clusters as expandable niches for ectopic liver development.
Han B, Francipane MG, Cheikhi A, Johnson J, Chen F, Chen R, Lagasse E
Hepatology (Baltimore, Md.) 2022 Aug;76(2):357-371
Hepatology (Baltimore, Md.) 2022 Aug;76(2):357-371
Development of an Improved Method for the Isolation and Culture of Newborn Sheep Primary Hepatocytes.
Chen B, Dou X, Zhang D, Liu T, Yang B, Lu Z
Current issues in molecular biology 2022 Aug 12;44(8):3621-3631
Current issues in molecular biology 2022 Aug 12;44(8):3621-3631
A KPV-binding double-network hydrogel restores gut mucosal barrier in an inflamed colon.
Zhao Y, Xue P, Lin G, Tong M, Yang J, Zhang Y, Ran K, Zhuge D, Yao Q, Xu H
Acta biomaterialia 2022 Apr 15;143:233-252
Acta biomaterialia 2022 Apr 15;143:233-252
6-Phosphogluconolactonase Promotes Hepatocellular Carcinogenesis by Activating Pentose Phosphate Pathway.
Li C, Chen J, Li Y, Wu B, Ye Z, Tian X, Wei Y, Hao Z, Pan Y, Zhou H, Yang K, Fu Z, Xu J, Lu Y
Frontiers in cell and developmental biology 2021;9:753196
Frontiers in cell and developmental biology 2021;9:753196
Lycium barbarum Polysaccharide Ameliorates Heat-Stress-Induced Impairment of Primary Sertoli Cells and the Blood-Testis Barrier in Rat via Androgen Receptor and Akt Phosphorylation.
Hu S, Liu D, Liu S, Li C, Guo J
Evidence-based complementary and alternative medicine : eCAM 2021;2021:5574202
Evidence-based complementary and alternative medicine : eCAM 2021;2021:5574202
LR12 Promotes Liver Repair by Improving the Resolution of Inflammation and Liver Regeneration in Mice with Thioacetamide- (TAA-) Induced Acute Liver Failure.
Wang Y, Xie X, Liu H, Liu H, Jiang H
Mediators of inflammation 2021;2021:2327721
Mediators of inflammation 2021;2021:2327721
Establishment of a Hyperacute Rejection Model of ABO-Incompatible Renal Transplantation in Nonhuman Primates.
Wang J, Feng H, Zhang C, Zhong S, Wang L, Zhu L, Chen S, Chen G
Frontiers in immunology 2021;12:807604
Frontiers in immunology 2021;12:807604
The Unique Genetic and Histological Characteristics of DMBA-Induced Mammary Tumors in an Organoid-Based Carcinogenesis Model.
Naruse M, Ishigamori R, Imai T
Frontiers in genetics 2021;12:765131
Frontiers in genetics 2021;12:765131
Spatio-Temporal Multiscale Analysis of Western Diet-Fed Mice Reveals a Translationally Relevant Sequence of Events during NAFLD Progression.
Ghallab A, Myllys M, Friebel A, Duda J, Edlund K, Halilbasic E, Vucur M, Hobloss Z, Brackhagen L, Begher-Tibbe B, Hassan R, Burke M, Genc E, Frohwein LJ, Hofmann U, Holland CH, González D, Keller M, Seddek AL, Abbas T, Mohammed ESI, Teufel A, Itzel T, Metzler S, Marchan R, Cadenas C, Watzl C, Nitsche MA, Kappenberg F, Luedde T, Longerich T, Rahnenführer J, Hoehme S, Trauner M, Hengstler JG
Cells 2021 Sep 23;10(10)
Cells 2021 Sep 23;10(10)
Different properties of mammary carcinogenesis induced by two chemical carcinogens, DMBA and PhIP, in heterozygous BALB/c Trp53 knockout mice.
Machida Y, Imai T
Oncology letters 2021 Oct;22(4):738
Oncology letters 2021 Oct;22(4):738
AnnexinA7 promotes epithelial-mesenchymal transition by interacting with Sorcin and contributes to aggressiveness in hepatocellular carcinoma.
Ling F, Zhang H, Sun Y, Meng J, Sanches JGP, Huang H, Zhang Q, Yu X, Wang B, Hou L, Zhang J
Cell death & disease 2021 Oct 29;12(11):1018
Cell death & disease 2021 Oct 29;12(11):1018
Mycoplasma bovis subverts autophagy to promote intracellular replication in bovine mammary epithelial cells cultured in vitro.
Liu Y, Deng Z, Xu S, Liu G, Lin Y, Khan S, Gao J, Qu W, Kastelic JP, Han B
Veterinary research 2021 Oct 14;52(1):130
Veterinary research 2021 Oct 14;52(1):130
NLRP3 inflammasome of renal tubular epithelial cells induces kidney injury in acute hemolytic transfusion reactions.
Liu Z, Chen Y, Niu B, Yin D, Feng F, Gu S, An Q, Xu J, An N, Zhang J, Yi J, Yin W, Qin X, Hu X
Clinical and translational medicine 2021 Mar;11(3):e373
Clinical and translational medicine 2021 Mar;11(3):e373
In Silico, In Vitro, and In Vivo Analysis Identifies Endometrial Circadian Clock Genes in Recurrent Implantation Failure.
Zhai J, Li S, Hu J, Gao M, Sun Y, Chen ZJ, Giudice LC, Du Y
The Journal of clinical endocrinology and metabolism 2021 Jun 16;106(7):2077-2091
The Journal of clinical endocrinology and metabolism 2021 Jun 16;106(7):2077-2091
Human umbilical cord-derived mesenchymal stem cells improve the function of liver in rats with acute-on-chronic liver failure via downregulating Notch and Stat1/Stat3 signaling.
He Y, Guo X, Lan T, Xia J, Wang J, Li B, Peng C, Chen Y, Hu X, Meng Z
Stem cell research & therapy 2021 Jul 13;12(1):396
Stem cell research & therapy 2021 Jul 13;12(1):396
LRH-A3 and HCG increase pregnancy rate during timed artificial insemination in dairy cows.
Zheng P, Huang H, Li X, Huang F, Adeniran SO, Wang Z, Feng R, Zhang G
Animal science journal = Nihon chikusan Gakkaiho 2021 Jan-Dec;92(1):e13549
Animal science journal = Nihon chikusan Gakkaiho 2021 Jan-Dec;92(1):e13549
KLF4 transactivates TRIM29 expression and modulates keratin network.
Huang R, Fu Y, Deng Y
Biochemistry and biophysics reports 2021 Dec;28:101117
Biochemistry and biophysics reports 2021 Dec;28:101117
Sodium propionate protect the blood-milk barrier integrity, relieve lipopolysaccharide-induced inflammatory injury and cells apoptosis.
Ali I, Yang M, Wang Y, Yang C, Shafiq M, Wang G, Li L
Life sciences 2021 Apr 1;270:119138
Life sciences 2021 Apr 1;270:119138
Quercetin Inhibits Adenomyosis by Attenuating Cell Proliferation, Migration and Invasion of Ectopic Endometrial Stromal Cells.
Xu W, Song Y, Li K, Zhang B, Zhu X
Drug design, development and therapy 2020;14:3815-3826
Drug design, development and therapy 2020;14:3815-3826
All-trans-retinoic acid inhibits the malignant behaviors of hepatocarcinoma cells by regulating autophagy.
Fang S, Hu C, Xu L, Cui J, Tao L, Gong M, Wang Y, He Y, He T, Bi Y
American journal of translational research 2020;12(10):6793-6810
American journal of translational research 2020;12(10):6793-6810
Arctigenin Suppressed Epithelial-Mesenchymal Transition Through Wnt3a/β-Catenin Pathway in PQ-Induced Pulmonary Fibrosis.
Gao F, Zhang Y, Yang Z, Wang M, Zhou Z, Zhang W, Ren Y, Han X, Wei M, Sun Z, Nie S
Frontiers in pharmacology 2020;11:584098
Frontiers in pharmacology 2020;11:584098
Cholesterol-rich lipid rafts both in cellular and viral membrane are critical for caprine parainfluenza virus type3 entry and infection in host cells.
Li W, Yang L, Mao L, Liu M, Li J, Zhang W, Sun M
Veterinary microbiology 2020 Sep;248:108794
Veterinary microbiology 2020 Sep;248:108794
Cyclophilin A plays an important role in embryo implantation through activating Stat3.
Yu T, Lin S, Xu R, Du TX, Li Y, Gao H, Diao HL, Zhang XH
Reproduction (Cambridge, England) 2020 Sep;160(3):343-351
Reproduction (Cambridge, England) 2020 Sep;160(3):343-351
hUMSCs regulate the differentiation of ovarian stromal cells via TGF-β(1)/Smad3 signaling pathway to inhibit ovarian fibrosis to repair ovarian function in POI rats.
Cui L, Bao H, Liu Z, Man X, Liu H, Hou Y, Luo Q, Wang S, Fu Q, Zhang H
Stem cell research & therapy 2020 Sep 7;11(1):386
Stem cell research & therapy 2020 Sep 7;11(1):386
Ex Vivo Cell Therapy by Ectopic Hepatocyte Transplantation Treats the Porcine Tyrosinemia Model of Acute Liver Failure.
Nicolas CT, Kaiser RA, Hickey RD, Allen KL, Du Z, VanLith CJ, Guthman RM, Amiot B, Suksanpaisan L, Han B, Francipane MG, Cheikhi A, Jiang H, Bansal A, Pandey MK, Garg I, Lowe V, Bhagwate A, O'Brien D, Kocher JA, DeGrado TR, Nyberg SL, Lagasse E, Lillegard JB
Molecular therapy. Methods & clinical development 2020 Sep 11;18:738-750
Molecular therapy. Methods & clinical development 2020 Sep 11;18:738-750
TMT-based quantitative proteomic analysis of porcine muscle associated with postmortem meat quality.
Hou X, Liu Q, Meng Q, Wang L, Yan H, Zhang L, Wang L
Food chemistry 2020 Oct 30;328:127133
Food chemistry 2020 Oct 30;328:127133
Bta-miR-34b inhibits proliferation and promotes apoptosis via the MEK/ERK pathway by targeting MAP2K1 in bovine primary Sertoli cells.
Zhang L, Ma T, Tao Q, Tan W, Chen H, Liu W, Lin P, Zhou D, Wang A, Jin Y, Tang K
Journal of animal science 2020 Oct 1;98(10)
Journal of animal science 2020 Oct 1;98(10)
3, 3', 5-Triiodo-L-thyronine affects polarity proteins of bovine Sertoli cells via WT1/non-canonical Wnt signaling pathway.
Wang X, Adeniran SO, Wang Z, Li X, Huang F, Ma M, Xu Z, Zheng P, Zhang G
Theriogenology 2020 May;148:8-17
Theriogenology 2020 May;148:8-17
PLAG1 enhances the stemness profiles of acinar cells in normal human salivary glands in a cell type-specific manner.
Goto Y, Ibi M, Sato H, Tanaka J, Yasuhara R, Aota K, Azuma M, Fukada T, Mishima K, Irié T
Journal of oral biosciences 2020 Mar;62(1):99-106
Journal of oral biosciences 2020 Mar;62(1):99-106
Hesperidin ameliorates liver ischemia/reperfusion injury via activation of the Akt pathway.
Li S, Qin Q, Luo D, Pan W, Wei Y, Xu Y, Zhu J, Shang L
Molecular medicine reports 2020 Dec;22(6):4519-4530
Molecular medicine reports 2020 Dec;22(6):4519-4530
Proteomic Analysis Reveals Proteins and Pathways Associated with Lactation in Bovine Mammary Epithelial Cell-Derived Exosomes.
Zhang M, Ma Z, Li R, Guo S, Qiu Y, Gao X
Journal of proteome research 2020 Aug 7;19(8):3211-3219
Journal of proteome research 2020 Aug 7;19(8):3211-3219
Long-term Production of Glycogen and Hepatic-Derived, Cell-Invasion-Promoting Chemokines by Ultrasound-Driven Hepatic-Differentiated Human Bone Marrow Mesenchymal Stem Cells.
Song L, Constanthin PE, Sun T, Li X, Xia Z, An L, Li F
Radiation research 2020 Apr;193(4):394-405
Radiation research 2020 Apr;193(4):394-405
GRP78 regulates milk biosynthesis and the proliferation of bovinemammaryepithelial cells through the mTOR signaling pathway.
Liu Y, Wang X, Zhen Z, Yu Y, Qiu Y, Xiang W
Cellular & molecular biology letters 2019;24:57
Cellular & molecular biology letters 2019;24:57
Cytoplasmic SIRT1 inhibits cell migration and invasion by impeding epithelial-mesenchymal transition in ovarian carcinoma.
Yang T, Zhou R, Yu S, Yu S, Cui Z, Hu P, Liu J, Qiao Q, Zhang J
Molecular and cellular biochemistry 2019 Sep;459(1-2):157-169
Molecular and cellular biochemistry 2019 Sep;459(1-2):157-169
Isolation, culture, and identification of duck intestinal epithelial cells and oxidative stress model constructed.
Zhang H, Chen F, Liang ZH, Wu Y, Pi JS
In vitro cellular & developmental biology. Animal 2019 Oct;55(9):733-740
In vitro cellular & developmental biology. Animal 2019 Oct;55(9):733-740
ATRA induces the differentiation of hepatic progenitor cells by upregulating microRNA-200a.
Hu C, Liang X, Fang S, Xu L, Gong M, Wang Y, Bi Y, Hong S, He Y
In vitro cellular & developmental biology. Animal 2019 Oct;55(9):713-722
In vitro cellular & developmental biology. Animal 2019 Oct;55(9):713-722
Atrial natriuretic peptide inhibits epithelial-mesenchymal transition (EMT) of bronchial epithelial cells through cGMP/PKG signaling by targeting Smad3 in a murine model of allergic asthma.
Chu S, Zhang X, Sun Y, Liang Y, Sun J, Lu M, Huang J, Jiang M, Ma L
Experimental lung research 2019 Oct;45(8):245-254
Experimental lung research 2019 Oct;45(8):245-254
Influence of Wilms' tumor suppressor gene WT1 on bovine Sertoli cells polarity and tight junctions via non-canonical WNT signaling pathway.
Wang X, Adegoke EO, Ma M, Huang F, Zhang H, Adeniran SO, Zheng P, Zhang G
Theriogenology 2019 Oct 15;138:84-93
Theriogenology 2019 Oct 15;138:84-93
Induction of Sertoli-like cells from human fibroblasts by NR5A1 and GATA4.
Liang J, Wang N, He J, Du J, Guo Y, Li L, Wu W, Yao C, Li Z, Kee K
eLife 2019 Nov 11;8
eLife 2019 Nov 11;8
Downregulation of cytokeratin 18 enhances BCRP-mediated multidrug resistance through induction of epithelial-mesenchymal transition and predicts poor prognosis in breast cancer.
Shi R, Wang C, Fu N, Liu L, Zhu D, Wei Z, Zhang H, Xing J, Wang Y
Oncology reports 2019 May;41(5):3015-3026
Oncology reports 2019 May;41(5):3015-3026
The phosphorylation of Tudor-SN mediated by JNK is involved in the regulation of milk protein synthesis induced by prolactin in BMECs.
Zhang S, Qi H, Wen XP, Li P, Gao XJ, Ao JX
Journal of cellular physiology 2019 May;234(5):6077-6090
Journal of cellular physiology 2019 May;234(5):6077-6090
Cysteine Dioxygenase Regulates the Epithelial Morphogenesis of Mammary Gland via Cysteine Sulfinic Acid.
Zhao J, Han Y, Ma X, Zhou Y, Yuan S, Shen Q, Ye G, Liu H, Fu P, Zhang G, Qiao B, Liu A
iScience 2019 Mar 29;13:173-189
iScience 2019 Mar 29;13:173-189
Thyroid hormone (T(3)) is involved in inhibiting the proliferation of newborn calf Sertoli cells via the PI3K/Akt signaling pathway in vitro.
Wang C, Zheng P, Adeniran SO, Ma M, Huang F, Adegoke EO, Zhang G
Theriogenology 2019 Jul 15;133:1-9
Theriogenology 2019 Jul 15;133:1-9
Cytokeratin expression in epidermal stem cells in skin adnexal tumors.
Zhou X, Li G, Wang D, Sun X, Li X
Oncology letters 2019 Jan;17(1):927-932
Oncology letters 2019 Jan;17(1):927-932
Wnt5a induces and maintains prostate cancer cells dormancy in bone.
Ren D, Dai Y, Yang Q, Zhang X, Guo W, Ye L, Huang S, Chen X, Lai Y, Du H, Lin C, Peng X, Song L
The Journal of experimental medicine 2019 Feb 4;216(2):428-449
The Journal of experimental medicine 2019 Feb 4;216(2):428-449
Ultrasound Irradiation Combined with Hepatocyte Growth Factor Accelerate the Hepatic Differentiation of Human Bone Marrow Mesenchymal Stem Cells.
Li F, Liu Y, Cai Y, Li X, Bai M, Sun T, Du L
Ultrasound in medicine & biology 2018 May;44(5):1044-1052
Ultrasound in medicine & biology 2018 May;44(5):1044-1052
Hypothermic oxygenated perfusion (HOPE) attenuates ischemia/reperfusion injury in the liver through inhibition of the TXNIP/NLRP3 inflammasome pathway in a rat model of donation after cardiac death.
He W, Ye S, Zeng C, Xue S, Hu X, Zhang X, Gao S, Xiong Y, He X, Vivalda S, Li L, Wang Y, Ye Q
FASEB journal : official publication of the Federation of American Societies for Experimental Biology 2018 Jun 5;:fj201800028RR
FASEB journal : official publication of the Federation of American Societies for Experimental Biology 2018 Jun 5;:fj201800028RR
[Tumor necrosis factor-α and transforming growth factor-β(1) balance liver stem cell differentiation in cholestatic cirrhosis].
Yang B, Luo Q, Kang Q, Wang J, Xiao C, Li ZP, Gong MJ, Bi Y
Nan fang yi ke da xue xue bao = Journal of Southern Medical University 2018 Apr 20;38(4):375-383
Nan fang yi ke da xue xue bao = Journal of Southern Medical University 2018 Apr 20;38(4):375-383
Yi Guan Jian decoction may enhance hepatic differentiation of bone marrow‑derived mesenchymal stem cells via SDF‑1 in vitro.
Fu LL, Pang BY, Zhu Y, Wang L, Leng AJ, Chen HL
Molecular medicine reports 2017 Sep;16(3):2511-2521
Molecular medicine reports 2017 Sep;16(3):2511-2521
Twinfilin 1 enhances milk bio-synthesis and proliferation of bovine mammary epithelial cells via the mTOR signaling pathway.
Li L, Liu L, Qu B, Li X, Gao X, Zhang M
Biochemical and biophysical research communications 2017 Oct 21;492(3):289-294
Biochemical and biophysical research communications 2017 Oct 21;492(3):289-294
Label-free proteomic analysis of placental proteins during Toxoplasma gondii infection.
Jiao F, Zhang D, Jiang M, Mi J, Liu X, Zhang H, Hu Z, Xu X, Hu X
Journal of proteomics 2017 Jan 6;150:31-39
Journal of proteomics 2017 Jan 6;150:31-39
Injury Induces Endogenous Reprogramming and Dedifferentiation of Neuronal Progenitors to Multipotency.
Lin B, Coleman JH, Peterson JN, Zunitch MJ, Jang W, Herrick DB, Schwob JE
Cell stem cell 2017 Dec 7;21(6):761-774.e5
Cell stem cell 2017 Dec 7;21(6):761-774.e5
Global histone modification profiling reveals the epigenomic dynamics during malignant transformation in a four-stage breast cancer model.
Zhao QY, Lei PJ, Zhang X, Zheng JY, Wang HY, Zhao J, Li YM, Ye M, Li L, Wei G, Wu M
Clinical epigenetics 2016;8:34
Clinical epigenetics 2016;8:34
Ex Vivo Stromal Cell-Derived Factor 1-Mediated Differentiation of Mouse Bone Marrow Mesenchymal Stem Cells into Hepatocytes Is Enhanced by Chinese Medicine Yiguanjian Drug-Containing Serum.
Fu L, Pang B, Zhu Y, Wang L, Leng A, Chen H
Evidence-based complementary and alternative medicine : eCAM 2016;2016:7380439
Evidence-based complementary and alternative medicine : eCAM 2016;2016:7380439
EB-virus latent membrane protein 1 potentiates the stemness of nasopharyngeal carcinoma via preferential activation of PI3K/AKT pathway by a positive feedback loop.
Yang CF, Yang GD, Huang TJ, Li R, Chu QQ, Xu L, Wang MS, Cai MD, Zhong L, Wei HJ, Huang HB, Huang JL, Qian CN, Huang BJ
Oncogene 2016 Jun 30;35(26):3419-31
Oncogene 2016 Jun 30;35(26):3419-31
HOXA13 exerts a beneficial effect in albumin-induced epithelial-mesenchymal transition via the glucocorticoid receptor signaling pathway in human renal tubular epithelial cells.
Peng L, He Q, Li X, Shuai L, Chen H, Li Y, Yi Z
Molecular medicine reports 2016 Jul;14(1):271-6
Molecular medicine reports 2016 Jul;14(1):271-6
Conditional ablation of TGF-β signaling inhibits tumor progression and invasion in an induced mouse bladder cancer model.
Liang Y, Zhu F, Zhang H, Chen D, Zhang X, Gao Q, Li Y
Scientific reports 2016 Jul 5;6:29479
Scientific reports 2016 Jul 5;6:29479
Carbon monoxide inhibits the nuclear-cytoplasmic translocation of HMGB1 in an in vitro oxidative stress injury model of mouse renal tubular epithelial cells.
Jia Y, Wang L, Zhao GY, Wang ZQ, Chen S, Chen G
Journal of Huazhong University of Science and Technology. Medical sciences = Hua zhong ke ji da xue xue bao. Yi xue Ying De wen ban = Huazhong keji daxue xuebao. Yixue Yingdewen ban 2016 Dec;36(6):791-795
Journal of Huazhong University of Science and Technology. Medical sciences = Hua zhong ke ji da xue xue bao. Yi xue Ying De wen ban = Huazhong keji daxue xuebao. Yixue Yingdewen ban 2016 Dec;36(6):791-795
Podoplanin promotes the invasion of oral squamous cell carcinoma in coordination with MT1-MMP and Rho GTPases.
Li YY, Zhou CX, Gao Y
American journal of cancer research 2015;5(2):514-29
American journal of cancer research 2015;5(2):514-29
Restraint stress delays endometrial adaptive remodeling during mouse embryo implantation.
Liu G, Dong Y, Wang Z, Cao J, Chen Y
Stress (Amsterdam, Netherlands) 2015;18(6):699-709
Stress (Amsterdam, Netherlands) 2015;18(6):699-709
Carbon monoxide potently prevents ischemia-induced high-mobility group box 1 translocation and release and protects against lethal renal ischemia-reperfusion injury.
Ruan Y, Wang L, Zhao Y, Yao Y, Chen S, Li J, Guo H, Ming C, Chen S, Gong F, Chen G
Kidney international 2014 Sep;86(3):525-37
Kidney international 2014 Sep;86(3):525-37
Revival, characterization, and hepatitis B virus infection of cryopreserved human fetal hepatocytes.
Zhou M, Huang Y, Cheng Z, Zhao F, Li J, Zhi X, Tian X, Sun W, Hu K
Journal of virological methods 2014 Oct;207:29-37
Journal of virological methods 2014 Oct;207:29-37
Protective effects of dioscin against alcohol-induced liver injury.
Xu T, Zheng L, Xu L, Yin L, Qi Y, Xu Y, Han X, Peng J
Archives of toxicology 2014 Mar;88(3):739-53
Archives of toxicology 2014 Mar;88(3):739-53
Long-term maintenance of human fetal hepatocytes and prolonged susceptibility to HBV infection by co-culture with non-parenchymal cells.
Zhou M, Zhao F, Li J, Cheng Z, Tian X, Zhi X, Huang Y, Hu K
Journal of virological methods 2014 Jan;195:185-93
Journal of virological methods 2014 Jan;195:185-93
Increased expression levels of E-cadherin, cytokeratin 18 and 19 observed in preeclampsia were not correlated with disease severity.
Li XL, Dong X, Xue Y, Li CF, Gou WL, Chen Q
Placenta 2014 Aug;35(8):625-31
Placenta 2014 Aug;35(8):625-31
Dentin matrix proteins (DMPs) enhance differentiation of BMMSCs via ERK and P38 MAPK pathways.
Yu Y, Wang L, Yu J, Lei G, Yan M, Smith G, Cooper PR, Tang C, Zhang G, Smith AJ
Cell and tissue research 2014 Apr;356(1):171-82
Cell and tissue research 2014 Apr;356(1):171-82
5-Aza-dC treatment induces mesenchymal-to-epithelial transition in 1st trimester trophoblast cell line HTR8/SVneo.
Chen Y, Wang K, Leach R
Biochemical and biophysical research communications 2013 Mar 1;432(1):116-22
Biochemical and biophysical research communications 2013 Mar 1;432(1):116-22
Protective effects of the total saponins from Rosa laevigata Michx fruit against carbon tetrachloride-induced acute liver injury in mice.
Dong D, Zhang S, Yin L, Tang X, Xu Y, Han X, Qi Y, Peng J
Food and chemical toxicology : an international journal published for the British Industrial Biological Research Association 2013 Dec;62:120-30
Food and chemical toxicology : an international journal published for the British Industrial Biological Research Association 2013 Dec;62:120-30
Dioscin, a natural steroid saponin, shows remarkable protective effect against acetaminophen-induced liver damage in vitro and in vivo.
Zhao X, Cong X, Zheng L, Xu L, Yin L, Peng J
Toxicology letters 2012 Oct 2;214(1):69-80
Toxicology letters 2012 Oct 2;214(1):69-80
Cx31.1 acts as a tumour suppressor in non-small cell lung cancer (NSCLC) cell lines through inhibition of cell proliferation and metastasis.
Zhang D, Chen C, Li Y, Fu X, Xie Y, Li Y, Huang Y
Journal of cellular and molecular medicine 2012 May;16(5):1047-59
Journal of cellular and molecular medicine 2012 May;16(5):1047-59
PPARγ isoforms differentially regulate metabolic networks to mediate mouse prostatic epithelial differentiation.
Strand DW, Jiang M, Murphy TA, Yi Y, Konvinse KC, Franco OE, Wang Y, Young JD, Hayward SW
Cell death & disease 2012 Aug 9;3(8):e361
Cell death & disease 2012 Aug 9;3(8):e361
Basal epithelial stem cells are efficient targets for prostate cancer initiation.
Lawson DA, Zong Y, Memarzadeh S, Xin L, Huang J, Witte ON
Proceedings of the National Academy of Sciences of the United States of America 2010 Feb 9;107(6):2610-5
Proceedings of the National Academy of Sciences of the United States of America 2010 Feb 9;107(6):2610-5
PCDH24-induced contact inhibition involves downregulation of beta-catenin signaling.
Ose R, Yanagawa T, Ikeda S, Ohara O, Koga H
Molecular oncology 2009 Feb;3(1):54-66
Molecular oncology 2009 Feb;3(1):54-66
Characterization of sensory deficits in TrkB knockout mice.
Perez-Pinera P, García-Suarez O, Germanà A, Díaz-Esnal B, de Carlos F, Silos-Santiago I, del Valle ME, Cobo J, Vega JA
Neuroscience letters 2008 Mar 5;433(1):43-7
Neuroscience letters 2008 Mar 5;433(1):43-7
Role of estrogen receptor beta in uterine stroma and epithelium: Insights from estrogen receptor beta-/- mice.
Wada-Hiraike O, Hiraike H, Okinaga H, Imamov O, Barros RP, Morani A, Omoto Y, Warner M, Gustafsson JA
Proceedings of the National Academy of Sciences of the United States of America 2006 Nov 28;103(48):18350-5
Proceedings of the National Academy of Sciences of the United States of America 2006 Nov 28;103(48):18350-5
No comments: Submit comment
Supportive validation
- Submitted by
- Proteintech Group (provider)
- Main image

- Experimental details
- A431 cells were subjected to SDS PAGE followed by western blot with 10830-1-AP(KRT18 antibody) at dilution of 1:2000
- Sample type
- cell line
Supportive validation
- Submitted by
- Proteintech Group (provider)
- Main image

- Experimental details
- Immunofluorescent analysis of HeLa cells using 10830-1-AP( KRT18 Antibody) at dilution of 1:50 and Rhodamine-Goat anti-Rabbit IgG
- Sample type
- cell line
Supportive validation
- Submitted by
- Proteintech Group (provider)
- Main image

- Experimental details
- IP Result of anti-KRT18 (IP:10830-1-AP, 3ug; Detection:10830-1-AP 1:2000) with A431 cells lysate 3300ug.
- Sample type
- cell line
Supportive validation
- Submitted by
- Proteintech Group (provider)
- Main image

- Experimental details
- Immunohistochemical of paraffin-embedded human breast cancer using 10830-1-AP(KRT18 antibody) at dilution of 1:100 (under 10x lens)
- Sample type
- tissue
- Submitted by
- Proteintech Group (provider)
- Main image

- Experimental details
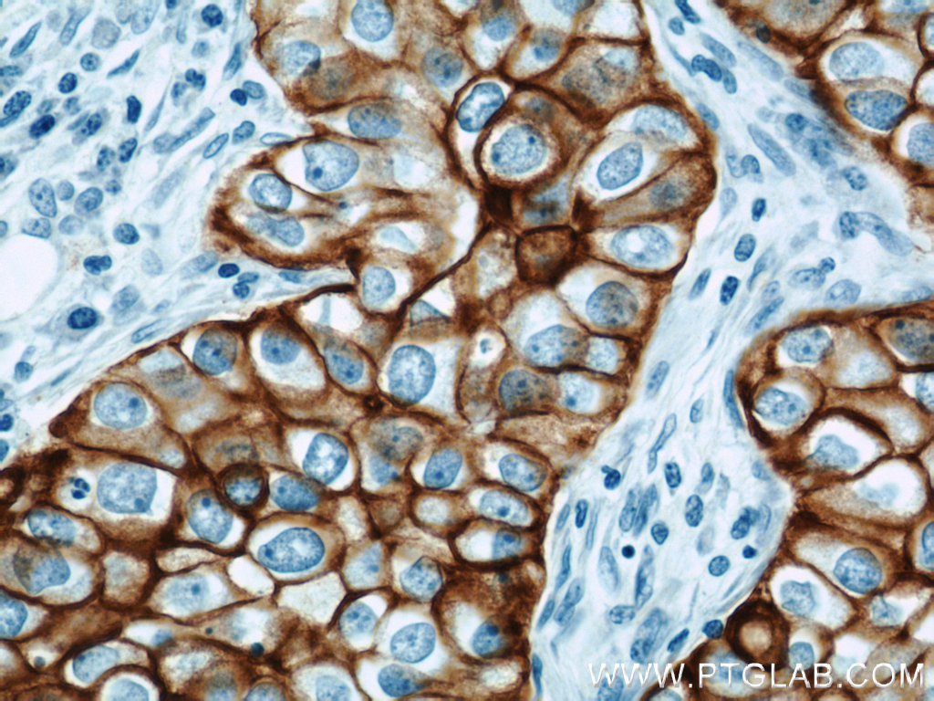
- Immunohistochemical of paraffin-embedded human breast cancer using 10830-1-AP(KRT18 antibody) at dilution of 1:100 (under 40x lens)
- Sample type
- tissue
- Submitted by
- Proteintech Group (provider)
- Main image

- Experimental details
- Immunohistochemical of paraffin-embedded human lung cancer using 10830-1-AP(KRT18 antibody) at dilution of 1:100 (under 40x lens)
- Sample type
- tissue
- Submitted by
- Proteintech Group (provider)
- Main image

- Experimental details
- Immunohistochemical of paraffin-embedded human lung cancer using 10830-1-AP(KRT18 antibody) at dilution of 1:100 (under 10x lens)
- Sample type
- tissue
Supportive validation
- Submitted by
- Proteintech Group (provider)
- Main image

- Experimental details
- The Cytokeratin 18 antibody from Proteintech is a rabbit polyclonal antibody to a recombinant protein of human Cytokeratin 18. This antibody recognizes human antigen. The Cytokeratin 18 antibody has been validated for the following applications: ELISA, WB, IP, IHC, IF, FC analysis.