Antibody data
- Antibody Data
- Antigen structure
- References [1]
- Comments [0]
- Validations
- Western blot [3]
- Immunocytochemistry [1]
- Immunohistochemistry [10]
Submit
Validation data
Reference
Comment
Report error
- Product number
- GTX84256 - Provider product page
- Provider
- GeneTex
- Proper citation
- GeneTex Cat#GTX84256, RRID:AB_10726718
- Product name
- Cytokeratin 18 antibody [1E1]
- Antibody type
- Monoclonal
- Reactivity
- Human, Simian
- Host
- Mouse
Submitted references Adipose-derived mesenchymal stem cells formed acinar-like structure when stimulated with breast epithelial cells in three-dimensional culture.
Tong J, Mou S, Xiong L, Wang Z, Wang R, Weigand A, Yuan Q, Horch RE, Sun J, Yang J
PloS one 2018;13(10):e0204077
PloS one 2018;13(10):e0204077
No comments: Submit comment
Supportive validation
- Submitted by
- GeneTex (provider)
- Main image
- Experimental details
- CK18 antibody ( 1E1) at 1:1000 dilution with HepG2 cell lysate
- Submitted by
- GeneTex (provider)
- Main image
- Experimental details
- HEK293T cells were transfected with the pCMV6-ENTRY control (Left lane) or pCMV6-ENTRY KRT18 (Right lane) cDNA for 48 hrs and lysed. Equivalent amounts of cell lysates (5 ug per lane) were separated by SDS-PAGE and immunoblotted with anti-KRT18.
- Submitted by
- GeneTex (provider)
- Main image
- Experimental details
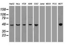
- Western blot analysis of extracts (35ug) from 9 different cell lines by using anti-KRT18 monoclonal antibody.
Supportive validation
- Submitted by
- GeneTex (provider)
- Main image
- Experimental details
- Anti-KRT18 mouse monoclonal antibody (GTX84256) immunofluorescent staining of COS7 cells transiently transfected with KRT18
Supportive validation
- Submitted by
- GeneTex (provider)
- Main image
- Experimental details
- Immunohistochemical staining of paraffin-embedded Adenocarcinoma of Human ovary tissue using anti-KRT18 mouse monoclonal antibody. (GTX84256)
- Submitted by
- GeneTex (provider)
- Main image
- Experimental details
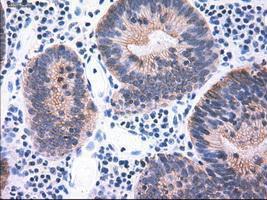
- Immunohistochemical staining of paraffin-embedded Carcinoma of Human kidney tissue using anti-KRT18 mouse monoclonal antibody. (GTX84256)
- Submitted by
- GeneTex (provider)
- Main image
- Experimental details
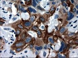
- Immunohistochemical staining of paraffin-embedded Carcinoma of Human liver tissue using anti-KRT18 mouse monoclonal antibody. (GTX84256)
- Submitted by
- GeneTex (provider)
- Main image
- Experimental details
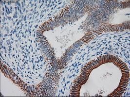
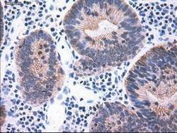
- Immunohistochemical staining of paraffin-embedded Adenocarcinoma of Human colon tissue using anti-KRT18 mouse monoclonal antibody. (GTX84256)
- Submitted by
- GeneTex (provider)
- Main image
- Experimental details
- Immunohistochemical staining of paraffin-embedded Human pancreas tissue using anti-KRT18 mouse monoclonal antibody. (GTX84256)
- Submitted by
- GeneTex (provider)
- Main image
- Experimental details
- Immunohistochemical staining of paraffin-embedded Carcinoma of Human pancreas tissue using anti-KRT18 mouse monoclonal antibody. (GTX84256)
- Submitted by
- GeneTex (provider)
- Main image
- Experimental details
- Immunohistochemical staining of paraffin-embedded Human Kidney tissue using anti-KRT18 mouse monoclonal antibody. (GTX84256)
- Submitted by
- GeneTex (provider)
- Main image
- Experimental details
- Immunohistochemical staining of paraffin-embedded Human breast tissue using anti-KRT18 mouse monoclonal antibody. (GTX84256)
- Submitted by
- GeneTex (provider)
- Main image
- Experimental details
- Immunohistochemical staining of paraffin-embedded Human colon tissue using anti-KRT18 mouse monoclonal antibody. (GTX84256)
- Submitted by
- GeneTex (provider)
- Main image
- Experimental details
- Immunohistochemical staining of paraffin-embedded Human endometrium tissue using anti-KRT18 mouse monoclonal antibody. (GTX84256)