Antibody data
- Antibody Data
- Antigen structure
- References [5]
- Comments [0]
- Validations
- Immunohistochemistry [1]
Submit
Validation data
Reference
Comment
Report error
- Product number
- M01357-4 - Provider product page

- Provider
- Boster Biological Technology
- Product name
- Anti-Cytokeratin 18 KRT18 Antibody Picoband™(monoclonal, 7I6)
- Antibody type
- Monoclonal
- Description
- Mouse IgG monoclonal antibody for Cytokeratin 18 detection. Tested with WB, IHC-P, IHC-F, ICC/IF, IF, FCM in Human.
- Reactivity
- Human
- Host
- Mouse
- Isotype
- IgG
- Antibody clone number
- 7I6
- Vial size
- 100μg/vial
- Storage
- At -20ËšC for one year. After reconstitution, at 4ËšC for one month. It can also be aliquoted and stored frozen at -20ËšC for a longer time. Avoid repeated freezing and thawing.
- Handling
- Add 0.2ml of distilled water will yield a concentration of 500μg/ml.
Submitted references Role of SESTRIN2/AMPK/ULK1 pathway activation and lysosomes dysfunction in NaAsO(2)-induced liver injury under oxidative stress.
Human amniotic epithelial cells improve fertility in an intrauterine adhesion mouse model.
Establishment and evaluation of the goose embryo epithelial (GEE) cell line as a new model for propagation of avian viruses.
The critical role of CD133(+)CD44(+/high) tumor cells in hematogenous metastasis of liver cancers.
Establishment and characterization of a lactating bovine mammary epithelial cell model for the study of milk synthesis.
Bi D, Zheng D, Shi M, Hu Q, Wang H, Zhi H, Lou D, Zhang A, Hu Y
Ecotoxicology and environmental safety 2023 Apr 1;254:114751
Ecotoxicology and environmental safety 2023 Apr 1;254:114751
Human amniotic epithelial cells improve fertility in an intrauterine adhesion mouse model.
Li B, Zhang Q, Sun J, Lai D
Stem cell research & therapy 2019 Aug 14;10(1):257
Stem cell research & therapy 2019 Aug 14;10(1):257
Establishment and evaluation of the goose embryo epithelial (GEE) cell line as a new model for propagation of avian viruses.
Wang W, Said A, Wang B, Qu G, Xu Q, Liu B, Shen Z
PloS one 2018;13(3):e0193876
PloS one 2018;13(3):e0193876
The critical role of CD133(+)CD44(+/high) tumor cells in hematogenous metastasis of liver cancers.
Hou Y, Zou Q, Ge R, Shen F, Wang Y
Cell research 2012 Jan;22(1):259-72
Cell research 2012 Jan;22(1):259-72
Establishment and characterization of a lactating bovine mammary epithelial cell model for the study of milk synthesis.
Zhao K, Liu HY, Zhou MM, Liu JX
Cell biology international 2010 Jul;34(7):717-21
Cell biology international 2010 Jul;34(7):717-21
No comments: Submit comment
Supportive validation
- Submitted by
- Boster Biological Technology (provider)
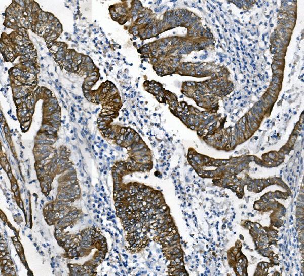
- Main image

- Experimental details
- IHC analysis of Cytokeratin 18 using anti-Cytokeratin 18 antibody (M01357-4). Cytokeratin 18 was detected in paraffin-embedded section of human rectal cancer tissue. Heat mediated antigen retrieval was performed in EDTA buffer (pH8.0, epitope retrieval solution). The tissue section was blocked with 10% goat serum. The tissue section was then incubated with 1μg/ml mouse anti-Cytokeratin 18 Antibody (M01357-4) overnight at 4°C. Biotinylated goat anti-mouse IgG was used as secondary antibody and incubated for 30 minutes at 37°C. The tissue section was developed using Strepavidin-Biotin-Complex (SABC) (Catalog # SA1021) with DAB as the chromogen.
- Additional image
